109年:放射器材(1)
要得到以下二組( 4張)乳房攝影( mammography )影像,合理的攝影距離( source-to-image receptor distance,SID )通常為多少公分? 
A10 ~40
B50 ~80
C90 ~120
D130 ~160
詳細解析
本題觀念:
本題考查乳房攝影(mammography)的標準攝影技術參數,特別是**攝影距離(source-to-image receptor distance, SID)**的設定範圍。乳房攝影使用短 SID 設計,與一般放射攝影(100–183 cm)差異顯著,是醫事放射師必須熟悉的基本技術參數。
影像分析:
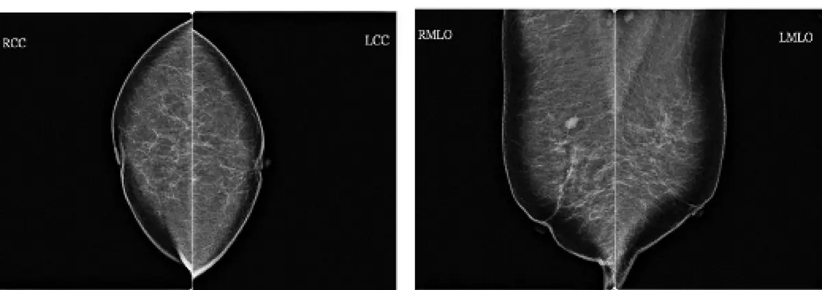
圖中顯示標準雙側乳房攝影(bilateral mammography)的四張影像,分為兩組:
左側一組(頭尾方向攝影,craniocaudal view, CC):
- RCC(右側 CC):右乳由上往下投照,顯示乳腺組織呈橢圓形分布,乳腺實質均勻分布
- LCC(左側 CC):左乳同方向投照,兩乳對稱呈現,可見乳腺組織密度分布情形
右側一組(內外斜位攝影,mediolateral oblique view, MLO):
- RMLO(右側 MLO):右乳斜位投照(約 45°),可見胸大肌(pectoralis major)邊緣、乳頭、腋尾部,呈特徵性的淚滴形
- LMLO(左側 MLO):左乳對應斜位,可見胸大肌邊緣清晰,乳腺組織完整包含
此四張影像(RCC、LCC、RMLO、LMLO)即為標準雙側乳房篩檢攝影的完整組合,每次篩檢共 4 張影像(每側 2 個投照方向)。
選項分析
**(A
...(解析預覽)...

升級 VIP 解鎖圖文解析