109年:放射診斷(1)
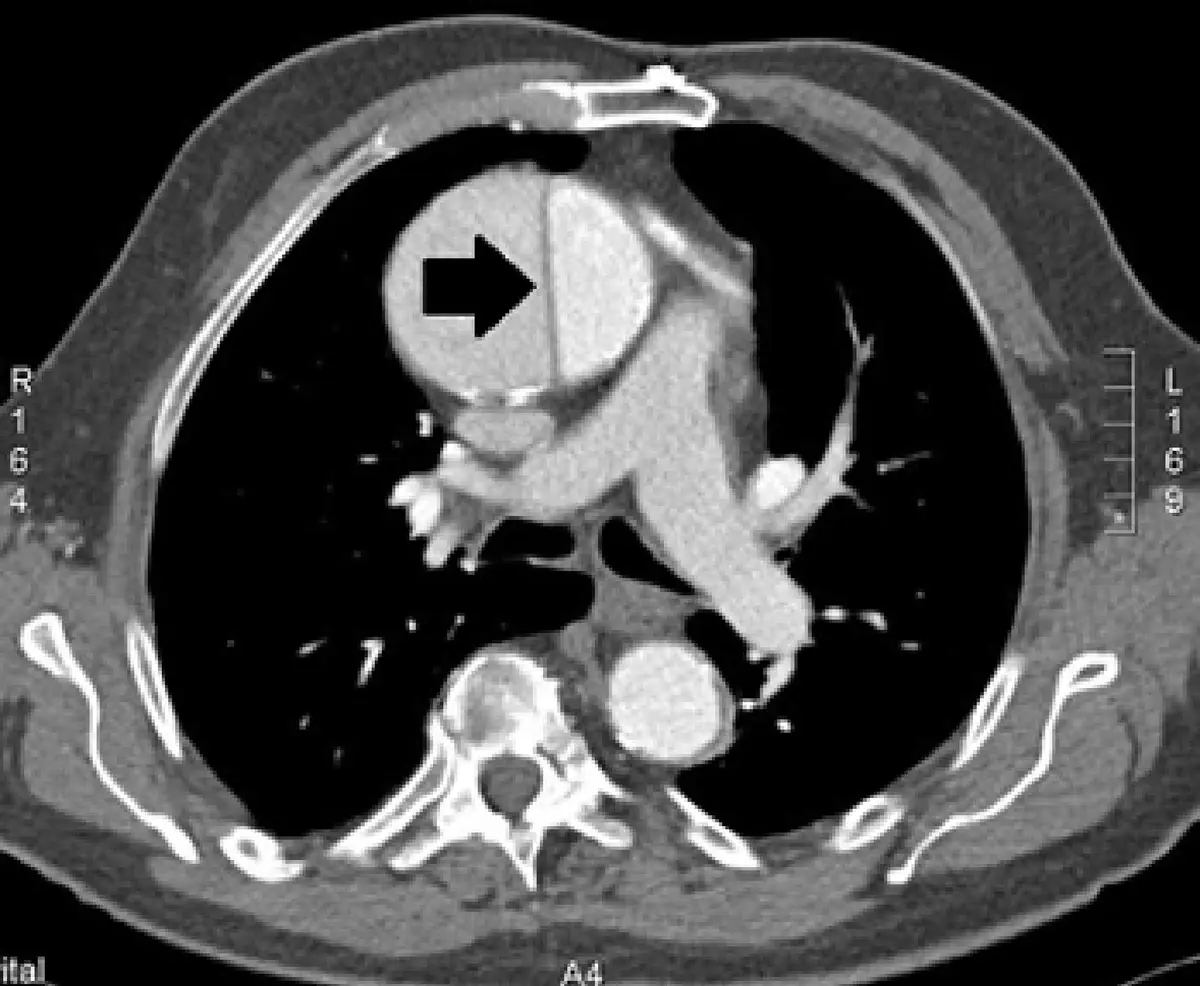
成人胸部電腦斷層影像如圖,造成箭號所指原因最可能為何? 
A病人移動造成的假影
B縱膈腔腫瘤
C病人應患有主動脈 剝離
D機器造成的影像假影
詳細解析
本題觀念:
本題考查成人胸部電腦斷層(CT)影像判讀,重點在於識別主動脈剝離(aortic dissection)的典型影像特徵,並與其他可能造成類似外觀的原因(包括各類假影)進行鑑別。
影像分析:
影像為成人胸部軸位(axial)CT 平掃或增強掃描切面,可見以下結構:
- 縱膈腔(mediastinum):位於影像中央,可見心臟及大血管結構
- 升主動脈(ascending aorta):位於縱膈腔前方,管腔寬大,呈圓形高密度結構
- 箭號所指:黑色粗箭號指向升主動脈(ascending aorta)內部,可見一條線狀高密度隔膜結構,將主動脈管腔分隔為兩個腔室,形成「雙腔(double barrel)」外觀
- 線狀隔膜結構即為內膜瓣(intimal flap)——真腔與假腔之間的分隔
- 影像亦可見心臟各腔室及肺臟結構,無明顯其他異常
此影像特徵高度符合主動脈剝離的診斷:升主動脈內可見清晰的內膜瓣,管腔一分為二,為 Stanford A 型(累及升主動脈)主動脈剝離的典型 CT 表現。
選項分析
(A) 病人移動造成的假影 病人移動假影(motion artifact)通常表現為整體影像模糊、條紋狀影像或邊緣模糊,不會在單一血管內出現清晰的線狀隔膜結構。且移動假影不會侷限於主動脈管腔內,而是影響整
...(解析預覽)...

升級 VIP 解鎖圖文解析