109年:放射診斷(1)
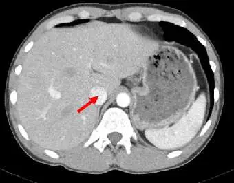
下圖腹部 CT 影像中,箭號所指的構造為何? 
A肝總動脈( common hepatic artery )
B門靜脈( portal vein )
C下腔靜脈( inferior vena cava)
D上腸 繫膜靜脈( superior mesenteric vein )
詳細解析
本題觀念:
本題考查腹部 CT 軸切面影像中主要血管構造的辨識,核心知識點為下腔靜脈(inferior vena cava, IVC)在肝臟層面的典型位置與影像特徵。
影像分析:
此為腹部 CT 軸切面(axial section)影像,對比劑強化掃描。影像中可見:
- 肝臟(liver):右側大片高密度實質器官,密度均勻,為影像主體。
- 脾臟(spleen):左側可見較小的實質器官(影像左上方,密度稍低於肝臟)。
- 脊椎(vertebral column):影像正中央可見高密度骨質結構。
- 紅色箭號所指:位於肝臟右後葉內側、脊椎右前方的橢圓形血管管腔構造,密度低且界線清楚。此位置正是下腔靜脈(IVC)走行於肝後段的典型位置——IVC 嵌入肝臟後方的 IVC 溝(sulcus venae cavae)中,在軸切面呈圓形或橢圓形低密度(或對比增強後高密度)管腔。
影像中箭號所指構造位於脊椎右側、肝臟後葉內側,符合下腔靜脈(IVC)的解剖位置。
選項分析
(A) 肝總動脈(common hepatic artery) 肝總動脈為腹腔動脈(celiac trunk)的分支,走行於肝十二指腸韌帶(hepatoduodenal ligament)中,通常位於門靜脈前方偏左,管徑較小(約 4–8 mm),在此層面不會
...(解析預覽)...

升級 VIP 解鎖圖文解析