109年:放射診斷(1)
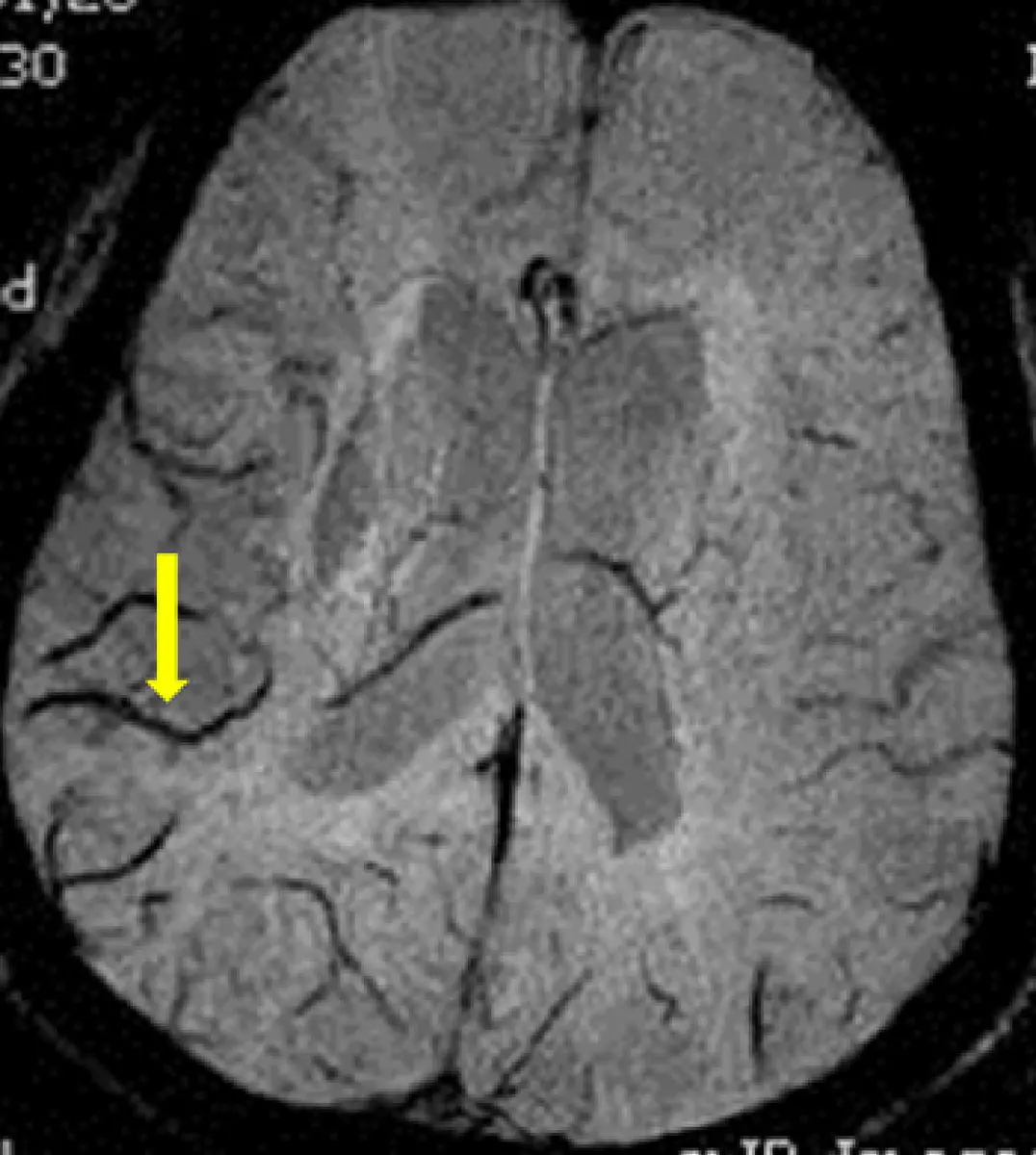
附圖箭號所指黑色條狀物最可能是下列那一項? 
A腦皮質動脈
B腦皮質靜脈
C蛛網膜下腔出血
D高血壓性腦出血
詳細解析
本題觀念:
本題考查腦部 MRI 影像判讀,特別是磁感受性加權影像(susceptibility weighted imaging, SWI)或 T2* 梯度回波(T2* gradient recalled echo, GRE)序列上,腦皮質靜脈(cortical vein)的正常影像表現。腦皮質靜脈因含有去氧血紅素(deoxyhemoglobin)而呈現顯著低訊號(hypointense)的黑色條狀或蜿蜒狀結構,此即所謂的「流空效應(flow void)」及磁感受性效應(magnetic susceptibility effect, MSE)的綜合表現。
影像分析:
本圖為腦部 MRI 軸切面(axial plane),影像特性符合 SWI(磁感受性加權影像)或 T2*GRE 序列的表現:
- 整體影像背景為灰白色腦實質,腦溝、腦迴清晰可見
- 影像中可見多條分布於大腦皮質表面的蜿蜒黑色條狀結構,沿腦溝走行,形態彎曲,符合皮質靜脈的解剖走行
- 黃色箭號指向左側大腦半球皮質表面的一條清晰黑色條狀蜿蜒結構,外觀為細長、彎曲的帶狀低訊號影
- 此黑色條狀結構不具有佔位效應(mass effect),無周圍水腫,形態規則連續,符合正常腦皮質靜脈在 SWI/T2*GRE 上的正常表現
- 蛛網膜下腔出血(subarachnoid hem
...(解析預覽)...

升級 VIP 解鎖圖文解析