109年:放射診斷(1)
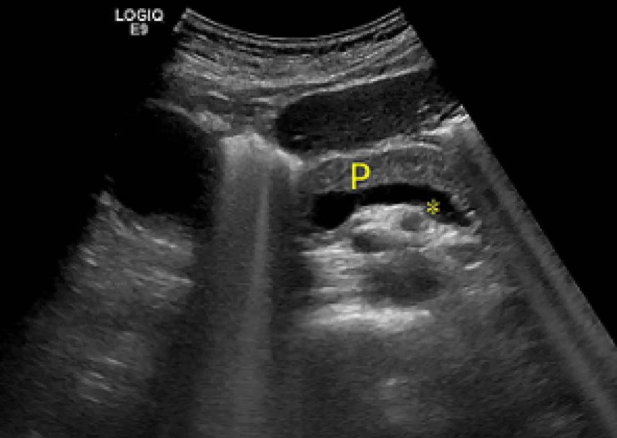
附圖腹部超音波 P為胰臟,星號所指為何? 
A脾靜脈
B胰靜脈
C肝靜脈
D下腔靜脈
詳細解析
本題觀念:
腹部超音波辨識胰臟周圍血管構造,重點在於熟悉**脾靜脈(splenic vein)**作為胰臟後緣最重要解剖標誌的超音波表現。
影像分析:
本影像為 GE LOGIQ E9 超音波機器所攝之上腹部橫切面超音波影像。
影像中央偏上方以黃色字母「P」標示的區塊為胰臟(pancreas),呈均勻中等回音之實質腺體。
在胰臟「P」標示的正後方(下方),可見一條走行於胰臟體部後緣的大型無回音(anechoic)管狀構造,由黃色星號「*」指示。此管狀構造呈現典型血管特徵:
- 管壁平滑、清晰
- 管腔內部完全無回音(呈黑色)
- 沿胰臟體部後緣橫向延伸
這正是脾靜脈的典型超音波表現:脾靜脈走行於胰臟體部與尾部的後緣,在橫切面上呈現長條形無回音管狀構造,是超音波辨識胰臟最重要的血管地標。
選項分析
(A) 脾靜脈 ✅ 正確 脾靜脈(splenic vein)走行於胰臟體部後緣,在超音波橫切面上呈現緊貼胰臟後表面的管狀無回音構造,是辨識胰臟體部最重要且最可靠的血管標誌。星號所指之位置(胰臟後緣)、走行方向(橫向)、及管腔特徵(無回音)完全符合脾靜脈。
(B) 胰靜脈 ❌ 錯誤 「胰靜脈」並非標準解剖學術語。胰臟的靜脈引流主要匯入脾靜脈及腸系膜上靜脈(superior mesenteric v
...(解析預覽)...

升級 VIP 解鎖圖文解析