109年:放射診斷(1)
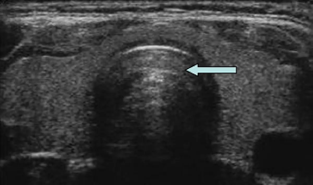
附圖是人體甲狀腺橫向超音波影像,箭號所指處應屬何器官? 
A食道
B脊椎骨
C氣管
D甲狀腺
詳細解析
本題觀念:
甲狀腺橫向超音波(transverse thyroid ultrasound)的解剖標誌辨識,重點在於熟悉**氣管(trachea)**在超音波影像中的特徵性表現,以及區分周圍鄰近構造(食道、脊椎、甲狀腺)。
影像分析:
本影像為頸部甲狀腺橫切面超音波影像。
影像中可見以下構造:
- 兩側甲狀腺葉:位於影像左右兩側,呈現均勻中等回音的實質腺體組織(較周圍肌肉回音稍高)
- 中央主要構造:影像正中央可見一個圓形高回音弧狀前壁的構造,其後方緊接一大片後方聲影(posterior acoustic shadowing),呈現明顯黑色無回音區,向下延伸至影像底部
- 藍色箭號所指:箭號由右向左,指向中央圓形構造偏左側處,即有後方聲影的主體構造
此後方聲影的影像特徵是辨識的關鍵:氣管內充滿空氣,由於空氣與組織之間的聲阻抗(acoustic impedance)差異極大,超音波波束在氣管前壁的空氣-組織界面幾乎完全反射,造成其後方完全無法成像,形成典型的大片後方聲影(air reverberation artifact)。
此構造位於頸部正中線,兩側甲狀腺葉之間,具有典型的氣管超音波表現:前壁可見、後壁因聲影而不可見,符合氣管的特徵。
選項分析
(A) 食道 ❌ 錯誤 食道(esop
...(解析預覽)...

升級 VIP 解鎖圖文解析