109年:放射診斷(1)
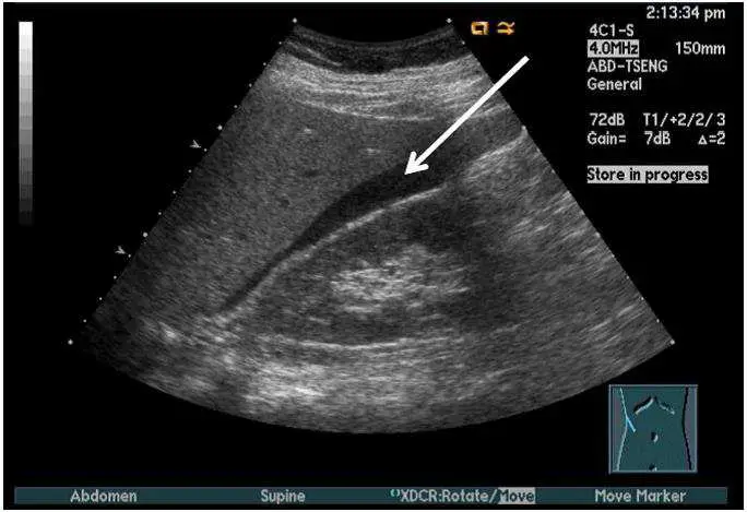
如附圖為腹部超音波影像,箭號所指為下列何者? 
A腹水
B膿瘍
C空氣
D脂肪肝
詳細解析
本題觀念:
本題考查腹部超音波影像判讀,核心為辨識**腹水(ascites)**在超音波上的典型表現,並與其他腹腔液體異常或聲學偽影鑑別。
影像分析:
本張腹部超音波影像可見:
- 中央有一大型、邊界清楚的無回音(黑色)圓形結構,為充盈的膀胱(urinary bladder)
- 兩個黃色箭號指向膀胱後下方一層新月形/薄層無回音液體
- 此液體層沿著膀胱外側壁分布,呈薄層、可移動的特性
- 液體呈純無回音,邊緣清晰,無內部回音或分隔
- 此位置(膀胱後方)為腹水在骨盆腔的典型蓄積部位(Douglas 氏腔/直腸膀胱陷凹)
兩個箭號所指的薄層無回音積液為**腹水(ascites)**的典型影像表現。
選項分析
(A) 腹水 ✅ — 正確。超音波顯示膀胱旁/後方有薄層無回音積液,符合腹水在骨盆腔蓄積的典型表現。自由流動的腹水為均質無回音,呈現月牙形或沿臟器分布的特徵。
(B) 膿瘍 ❌ — 膿瘍(abscess)通常表現為邊界較厚且不規則的低回音腔體,可能含有內部回音(膿液、壞死組織)、氣體強回音及聲影,而本圖的積液為純淨無回音,無上述特徵。
(C) 空氣 ❌ — 腸道氣體或腹腔游離氣體在超音波上表現為高回音並伴有混響偽影(reverberation artifact)或環狀下降偽影(r
...(解析預覽)...

升級 VIP 解鎖圖文解析