109年:放射診斷(1)
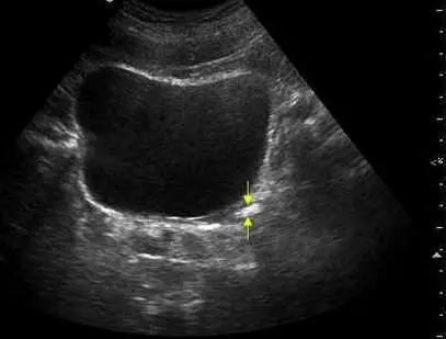
下圖 45 歲左腰痛男性病患膀胱之超音波影像中箭號所指為何? 
A附近腸氣假影
B輸尿管結石
C膀胱結石
D攝護腺結石
詳細解析
本題觀念:
本題考查膀胱超音波影像判讀,核心為辨識**輸尿管結石(ureteral calculus)**在膀胱超音波中的表現,特別是遠端輸尿管(輸尿管膀胱交接處,ureterovesical junction, UVJ)結石的影像特徵,並結合臨床情境(45 歲男性、左腰痛)進行診斷推理。
影像分析:
本張超音波影像標示為腹部(Abdomen)掃描,使用 4C1-S 探頭(4.0 MHz),可見:
- 影像中可見一大型無回音結構(膀胱)
- 白色箭號指向膀胱後外側壁附近一個強回音點狀結構,伴有明顯的聲影(acoustic shadowing)
- 箭號指示位置在膀胱壁外側,對應**左側輸尿管膀胱交接處(left UVJ)**的解剖位置
- 病患症狀為左腰痛,與左側輸尿管遠端結石造成梗阻一致
此強回音伴聲影的結構,位於膀胱壁旁的 UVJ 位置,符合輸尿管結石的典型超音波表現。
選項分析
(A) 附近腸氣假影 ❌ — 腸道氣體產生的偽影表現為線狀或弧形強回音,伴有混響偽影(reverberation artifact)或環狀下降偽影(ring-down artifact),偽影後方不產生乾淨的直線聲影;而本圖箭號所指為邊界相對明確的點狀強回音,位置固定於 UVJ 處,不符合氣體偽影特徵。
(B) 輸尿管結石 ✅
...(解析預覽)...

升級 VIP 解鎖圖文解析