109年:放射診斷(1)
45 歲男性病人因陰囊痛 1週,接受超音波掃描如附圖,最可能為下列那一項? 
A睪丸炎
B副睪炎
C陰囊積水
D睪丸扭轉
詳細解析
本題觀念:
本題考查陰囊超音波影像判讀,核心為辨識**副睪炎(epididymitis)**的典型超音波表現,並與睪丸炎(orchitis)、陰囊積水(hydrocele)及睪丸扭轉(testicular torsion)做鑑別診斷。臨床情境為 45 歲男性,陰囊痛 1 週,為急性陰囊痛的常見病因。
影像分析:
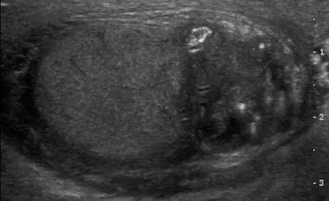
本張陰囊超音波影像(灰階,B-mode)顯示:
- 左側(較大的橢圓形結構):睪丸(testis),回音均勻,輪廓完整,回音質地相對正常
- 右側(鄰近睪丸的不均質結構):副睪(epididymis),呈現明顯腫大,內部回音不均質(heterogeneous),可見多個強回音點及結節狀改變
- 副睪頭部(epididymal head)尤其明顯腫大,與正常睪丸相比有顯著對比
- 無明顯游離積液(陰囊積水)的無回音層包繞
- 影像右側標示有 -1、-2、-3 刻度,為測量副睪厚度的游標標記
此影像的副睪腫大、回音不均質,結合陰囊痛 1 週的臨床情境,符合**副睪炎(epididymitis)**的典型超音波表現。
選項分析
(A) 睪丸炎 ❌ — 睪丸炎(orchitis)的超音波表現為睪丸本身腫大、回音不均質(通常低回音)及彩色都卜勒顯示睪丸血流增加。本圖的主要異常在副睪,睪丸本身回音相對均勻,
...(解析預覽)...

升級 VIP 解鎖圖文解析