109年:放射診斷(1)
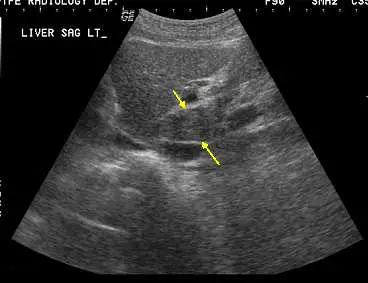
附圖為肝臟矢狀超音波掃描,箭號所指為何? 
A左葉
B右葉
C尾葉
D側葉
詳細解析
本題觀念:
肝臟超音波解剖學:矢狀切面各葉辨識,特別是尾葉(caudate lobe)的位置與超音波影像特徵。
影像分析:
影像標示「LIVER SAG LT_」,為肝臟左側矢狀切面(sagittal section)超音波掃描。圖中可見兩個黃色箭號指向肝臟後內側一個相對獨立、回音較均勻的小葉狀結構,位於左葉後方、緊鄰下腔靜脈(inferior vena cava, IVC)前方。此結構在超音波影像上以靜脈韌帶裂(fissure for ligamentum venosum)與左葉分隔,前緣可見左側門靜脈(left portal vein),後緣鄰接 IVC,符合尾葉(caudate lobe / Couinaud segment I)的標準超音波影像表現。
尾葉為解剖學上獨立的肝葉,具有自己的門靜脈、肝動脈、膽管和肝靜脈引流,其靜脈直接匯入 IVC,不經由三條主要肝靜脈,這也是超音波矢狀掃描中辨識它的重要解剖依據。
選項分析
(A) 左葉:左葉(left lobe)在矢狀切面呈三角形,位於較前方與上方,以靜脈韌帶裂與尾葉分隔。箭號所指結構位於左葉後方偏內側,非左葉本身。❌
(B) 右葉:右葉(right lobe)位於鐮狀韌帶(falciform ligament)右側,在矢狀切面通常需要由右側肋間掃描才能清楚顯示。本圖為左側矢狀掃
...(解析預覽)...

升級 VIP 解鎖圖文解析