109年:放射治療(1)
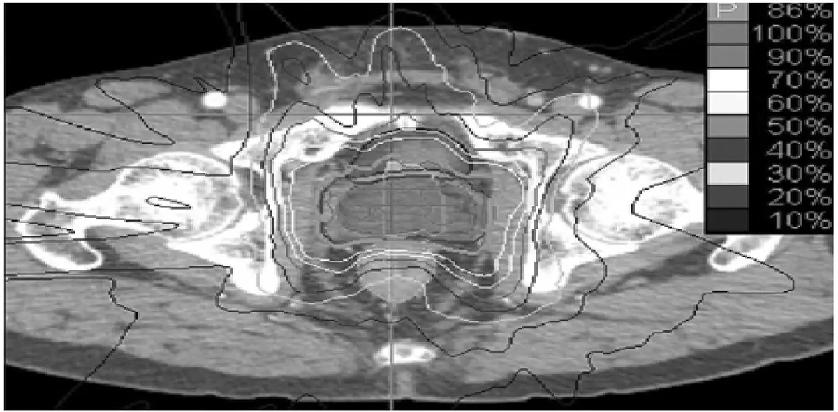
使用立體定位軀體放射治療( SBRT )治療攝護腺腫瘤(如下圖),治療計畫應評估下列那些危急器官(organ at risk )? ①直腸 ②脊髓神經 ③膀胱 ④股骨頭 
A①②③
B①③④
C①②④
D②③④
詳細解析
本題觀念:
立體定位軀體放射治療(stereotactic body radiation therapy, SBRT)治療攝護腺癌(prostate cancer)時,因採用高劑量、少次數的分次方式,對鄰近器官造成的傷害風險相對較高,因此治療計畫中必須明確標示並評估危急器官(organ at risk, OAR)的劑量限制。本題考的是攝護腺 SBRT 計畫中哪些結構屬於必要的 OAR。
影像分析:
圖片顯示攝護腺位置的骨盆腔軸位(axial)CT 治療計畫影像,疊加了等劑量線(isodose lines)分布(從 10% 至 100%)。影像中可清楚識別:
- 攝護腺(prostate):位於影像中央,接受最高劑量集中(100% 等劑量線包覆)
- 直腸(rectum):攝護腺正後方(影像下方),受高劑量線影響明顯,為最重要的 OAR
- 膀胱(bladder):攝護腺前方(影像上方),同樣受高劑量區涵蓋
- 雙側股骨頭(femoral heads):影像兩側的圓形高密度骨性結構,可見等劑量線延伸至此區域
- 脊髓(spinal cord):此骨盆切面上完全看不到脊髓,因為脊髓在解剖上位於腰椎以上,與攝護腺的解剖距離遠超出放射治療的劑量影響範圍
選項分析
攝護腺 SBRT 標準 OAR 包括:直腸、膀胱、
...(解析預覽)...

升級 VIP 解鎖圖文解析