109年:神經物治(2)
陳先生是一家公司負責人,最近經常做出錯誤的決策,導致財務損失慘重,對人變得冷漠,若以磁振造影檢查,最可能會發現下圖中那一個腦區有萎縮的現象? 
A①
B②
C③
D④
詳細解析
本題觀念:
本題考查腦葉功能定位(brain lobe functional localization),重點在於哪個腦區負責執行功能(executive function)、決策判斷(decision making)及情緒調節(emotional regulation)。題目描述陳先生出現決策錯誤、對人冷漠等行為改變,是典型的**額葉(frontal lobe)**功能損傷表現。
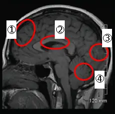
影像分析:
圖片為腦部磁振造影(MRI)矢狀切面(sagittal view),以紅色橢圓圈出四個腦區,編號如下:
- ①:位於最前方(anterior)的腦區,對應額葉(frontal lobe),包含前額葉皮質(prefrontal cortex, PFC)
- ②:位於中央偏上方,對應**頂葉(parietal lobe)**及中央區域
- ③:位於後方(posterior),對應枕葉(occipital lobe)
- ④:位於下後方,對應小腦(cerebellum)
本題關鍵在於辨識哪個標號對應到負責高階認知功能的額葉,圖中①明確指向大腦最前端的額葉區域。
選項分析
(A) ①(額葉 Frontal Lobe) 額葉,尤其是前額葉皮質(prefrontal cortex),是執行功能的核心
...(解析預覽)...

升級 VIP 解鎖圖文解析