109年:骨科物治(1)
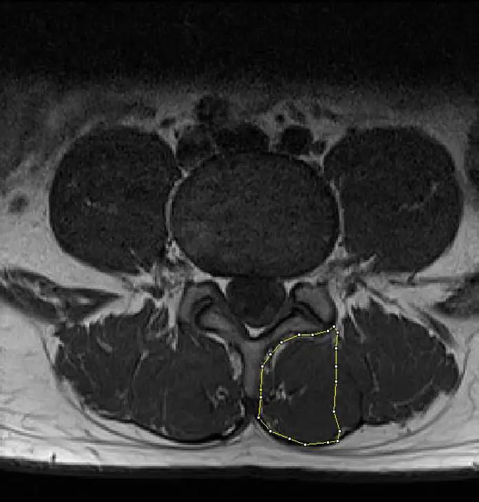
此圖為一名下背痛患者之腰椎軸面( axial plane )T1 加權( T1-weighted )核磁共振影像,所圈選的組織顯示出有脂肪的浸潤( fatty infiltration ),應建議患者接受下列何種治療? 
A腰椎融合手術
B機械腰椎牽引
C腰椎關節鬆動術
D脊椎穩定運動
詳細解析
本題觀念:
腰椎旁肌(paraspinal muscles)脂肪浸潤(fatty infiltration)的 MRI 影像判讀,以及針對核心肌群萎縮的物理治療介入選擇。脂肪浸潤是腰椎多裂肌(multifidus muscle)功能退化的影像學標誌,對應的最佳治療為脊椎穩定運動(spinal stabilization exercise)以重建核心肌群的神經肌肉控制與肌力。
影像分析:
本題圖片為腰椎軸面(axial plane)T1 加權(T1-weighted, T1W)核磁共振影像。
影像所見:
- 影像平面:軸面(橫斷面),顯示腰椎某一節段的截面,可見椎體(vertebral body)前方、椎弓(vertebral arch)、以及兩側的椎旁肌群
- 正常肌肉訊號:T1 加權影像中,健康骨骼肌呈均勻的中等灰色訊號(intermediate signal intensity);脂肪在 T1 中呈高訊號(hyperintense),即明亮白色
- 圈選組織(黃色輪廓標示):影像左側(解剖學右側)的椎旁肌群以黃色輪廓標記,該區域肌肉內可見明顯的高訊號亮白區域混雜於肌肉實質中,代表脂肪組織浸潤取代了正常肌肉纖維,此為脂肪浸潤(fatty infiltration)的典型 T1 影像表現
- 受影響肌肉:依據軸面位
...(解析預覽)...

升級 VIP 解鎖圖文解析