109年:心兒物治(1)
某病人的胸腔 X光如下圖,其診斷應為何? 
A正常
B肺氣腫
C肺心症
D肺炎
詳細解析
本題觀念:
肺氣腫(emphysema)的胸腔 X 光影像判讀是物理治療師執照考試的核心考點。肺氣腫屬於慢性阻塞性肺疾病(chronic obstructive pulmonary disease, COPD)的一種表現型,其特徵為末端細支氣管遠端氣腔的永久性擴大,伴隨肺泡壁破壞但無明顯纖維化。胸腔 X 光可呈現特徵性的過度充氣(hyperinflation)表現。
影像分析:
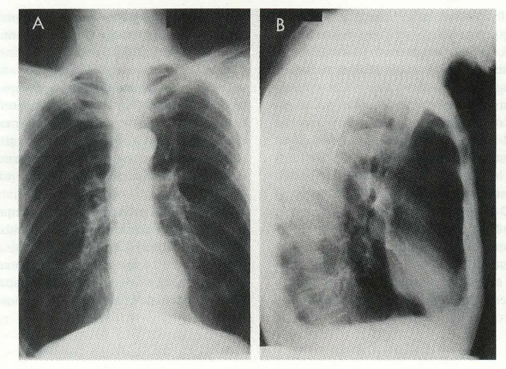
本題提供兩張胸腔 X 光影像(後前位 PA view 與側位 lateral view):
後前位(PA view,左圖):
- 雙側肺野明顯透亮度增加(hyperlucency),肺野擴大
- 橫膈膜(diaphragm)明顯扁平化(flattening),位置偏低
- 肋骨呈水平走向(horizontal ribs),肋間隙增寬
- 心臟輪廓相對狹窄(narrow cardiac silhouette),呈「水滴心」外觀
- 肺紋理(vascular markings)明顯減少,肺周邊更為透亮
- 以上表現符合典型肺氣腫之肺部過度膨脹
側位(Lateral view,右圖):
- 胸骨後間隙(retrosternal airspace)明顯增加
- 橫膈膜弓形消失,幾乎呈完全扁平
- 前後徑(AP diameter)增加,呈「桶狀胸(barrel chest)」形態
...(解析預覽)...

升級 VIP 解鎖圖文解析