108年:(醫檢)病生理(2)
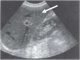
下圖右肋間足側掃描超音波檢查圖像中,箭頭所指為: 
A肝臟
B腎臟
C胰臟
D膽囊
詳細解析
本題觀念:
腹部超音波掃描時,右肋間足側掃描(right intercostal caudal scan)是觀察肝臟右葉的標準切面。掌握各臟器的超音波回聲特徵與解剖位置,是醫事檢驗師腹部超音波判讀的核心能力。
影像分析:
圖片為扇形(sector)探頭掃描所呈現的右肋間足側切面。影像中可見:
- 主要結構:影像近場(上方)佔據大部分視野的是一個質地均勻、中等回聲強度的大型實質器官,其內可見多條細線狀高回聲結構(對應門靜脈及其分支的血管壁),此為肝臟(liver)的典型超音波表現。
- 白色箭頭所指:箭頭指向影像左上角,即肝臟的上緣/膈面區域,為肝臟實質(hepatic parenchyma)。
- 回聲特徵:正常肝臟呈現中等、均勻的細點狀回聲(medium-level homogeneous echogenicity),略高於腎臟皮質回聲,可作為相互比較的參考。
- 解剖意義:右肋間掃描時,探頭置於右側肋間隙,可避免肋骨聲影干擾,完整呈現肝臟右葉。深部可見膈肌(diaphragm)形成的高回聲弧線。
此影像中不符合腎臟(腎臟呈豆形、有高回聲腎竇)、胰臟(位於腹部深部、胃後方,右肋間不易見到)、膽囊(呈橢圓形無回聲囊腔)的外觀。
選項分析
(A) 肝臟 ✅ 正確。右肋間足側掃描的主要目標即肝臟右葉;箭頭所
...(解析預覽)...

升級 VIP 解鎖圖文解析