108年:(醫檢)血液(2)
箭頭所指的細胞最有可能是下列何者? 
AMyeloblast
BBasophil
CEosinophil
DPromyelocyte
詳細解析
本題觀念:
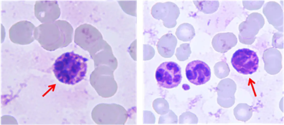
本題考察周邊血液抹片(peripheral blood smear)中白血球形態學辨識。題目提供兩張顯微鏡照片,紅色箭頭所指的細胞需根據其形態特徵(大小、核形、顆粒顏色與密度)鑑別為何種白血球。
影像分析:
兩張照片均為 Wright-Giemsa 染色的周邊血液抹片(高倍鏡)。背景可見正常紅血球(無核、淡橘色雙面凹圓盤狀)。
紅色箭頭所指細胞的形態特徵:
- 大小:約 14–16 µm,略大於紅血球
- 顆粒(granules):最顯眼的特徵——細胞質中充滿大量粗大、深紫色至藍黑色的顆粒,顆粒密度極高,幾乎完全填滿整個細胞
- 細胞核(nucleus):因顆粒過於密集,核形被顆粒所遮蔽,難以清楚辨識;隱約可見分葉核(bilobed)結構於顆粒之間
- 細胞質(cytoplasm):幾乎被顆粒佔據,幾乎看不到明顯的無顆粒細胞質區域
- 左圖箭頭所指細胞為單一細胞,特徵最清晰;右圖為同一類型細胞的不同視野確認
上述形態(深紫藍色粗大顆粒、顆粒遮蔽核形)是**嗜鹼性球(basophil)**的典型特徵。
選項分析
(A) Myeloblast(骨髓母細胞) ❌ 錯誤。骨髓母細胞(myeloblast)是最早期的骨髓性前驅細胞,特徵為:大而圓的核、核染質細緻(fine chromatin)、有明
...(解析預覽)...

升級 VIP 解鎖圖文解析