108年:(醫檢)病生理(1)
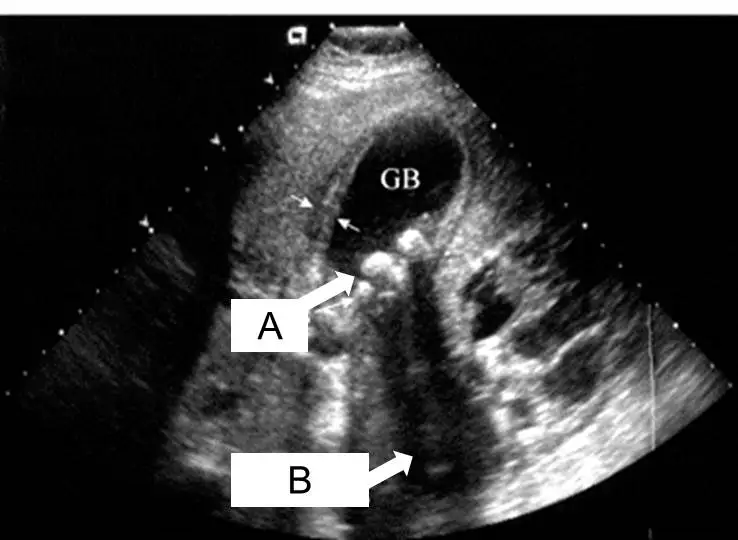
如圖之膽 囊超⾳波 , ⽩⾊箭頭 A及箭頭 B所指可能是何種影像? 
AA為膽息⾁, B為⾳影( acoustic shadow )
BA為膽息⾁, B為回⾳增益
CA為膽囊結⽯, B為⾳影( acoustic shadow )
DA為膽囊結⽯, B為回⾳增益
詳細解析
本題觀念:
本題考核膽囊超音波(gallbladder sonography)中兩種常見影像特徵的辨識:膽囊結石(cholelithiasis)的強回音病灶與其後方的音影(acoustic shadow)。考生需能正確區分膽囊結石與膽息肉(gallbladder polyp),以及音影與回音增益(posterior acoustic enhancement)這兩種截然不同的超音波偽影。
影像分析:
本張超音波影像標示「GB」處為膽囊(gallbladder)腔體,呈現典型無回音(anechoic)的暗色液體區域。
箭頭 A(白色箭頭,指向膽囊腔底部):指向一個強回音(hyperechoic)、邊界清楚的病灶,位於膽囊最低處(受重力影響的位置)。此病灶呈現亮白色,為緻密鈣化或結晶性物質(即膽囊結石)的典型表現。膽囊結石因含有膽固醇結晶、膽色素或鈣鹽等成分,對超音波波束產生強烈反射,形成強回音病灶。此病灶具有重力依賴性(gravity-dependent),改變病人體位時位置會隨之移動,可與固著於膽囊壁的膽息肉相鑑別。
箭頭 B(白色箭頭,指向強回音病灶後方):指向位於強回音病灶「正後方」的暗色、均質、帶狀低回音區域。這是典型的音影(acoustic shadow)——超音波波束在遇到強反射或強吸收介質(如結石)時,無法穿透到更深的組織,導致結石後
...(解析預覽)...

升級 VIP 解鎖圖文解析