108年:(醫檢)血液(1)
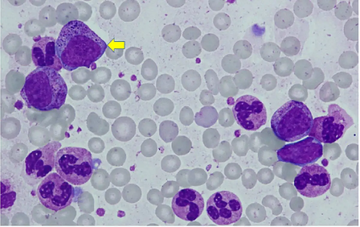
35 歲男性因腹脹就醫, CBC 檢驗結果為 WBC 65.6×10 9/L 、RBC 3.05×10 12 /L 、Hb 9.1g/dL 、PLT280×10 9/L ,周邊⾎液抹片如圖,箭頭所指為下列何種細胞? 
ABlast
BPromyelocyte
CBasophil
DMonocyte
詳細解析
本題觀念:
本題考的是周邊血液抹片(peripheral blood smear)中各類骨髓性前驅細胞的形態學辨識,特別是前骨髓球(promyelocyte)的特徵,以及其在慢性骨髓性白血病(chronic myeloid leukemia, CML)情境下的判讀。
影像分析:
本血液抹片可見多種骨髓性細胞同時出現,呈現典型的 CML 周邊血液「全系列骨髓成熟譜系」特徵(包含骨髓球、後骨髓球、帶狀核、分葉核等不同成熟階段),無明顯的 leukemic gap(成熟停頓)。
箭頭所指細胞具有以下形態特徵:
- 細胞大小:細胞體積大,直徑約 15–25 μm,明顯大於成熟嗜中性球
- 細胞核:核大、偏心(eccentric),呈圓形至卵圓形,染色質較骨髓母細胞(myeloblast)稍粗,核仁(nucleoli)仍隱約可見但不如 myeloblast 明顯
- 細胞質:豐富的嗜鹼性(basophilic)細胞質,充滿大量粗大深紫色的初級顆粒(primary azurophilic granules),部分顆粒甚至覆蓋於核上
- 無次級顆粒:尚未出現特異性(secondary)的嗜中性粉紅色顆粒
以上形態完全符合前骨髓球(promyelocyte)的定義。與 myeloblast 鑑別的關鍵在於:promyelocyte 細胞質更豐富
...(解析預覽)...

升級 VIP 解鎖圖文解析