108年:醫物幅安(2)
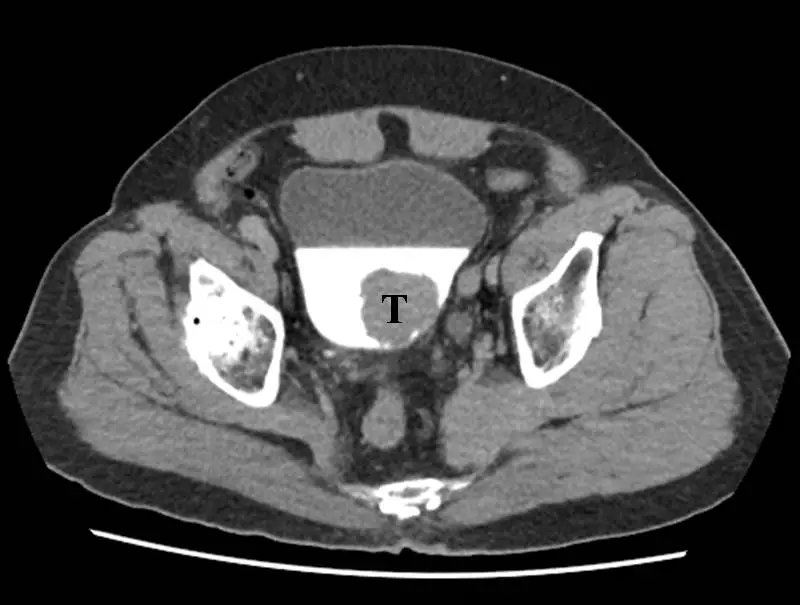
圖例 為⼀病患之電腦斷層影像,下列敘述何者正確? ①影像中膀胱含有對比劑,標⽰ T處為疑似腫瘤 ②此為腹部切⾯,中央的胃中含有對比劑,標⽰ T處疑似腫瘤 ③電腦斷層掃描使⽤的對比劑為含碘物質 ④病⼈在注射對比劑後,必須等待⾄延遲相( delayed phase )才能得到此影像 
A①②③
B①②④
C①③④
D②③④
詳細解析
本題觀念:
本題考核電腦斷層(computed tomography, CT)影像判讀與對比劑使用原則,包含:解剖切面辨識、含碘對比劑特性,以及延遲相(delayed phase)的臨床意義。
影像分析:
圖中顯示一張骨盆腔(pelvis)橫切面(axial plane)CT 影像,特徵如下:
- 整體解剖定位:影像中央可見骨盆腔結構,兩側為髂骨(ilium)(呈高密度白色皮質骨),後方可見薦骨(sacrum)
- 中央高密度結構:正中央可見一個大面積高密度(亮白色)充填的空腔狀結構,與周圍軟組織對比鮮明,符合**含對比劑的膀胱(urinary bladder)**特徵。對比劑為含碘物質,在 CT 影像中呈高密度
- T 標記:「T」位於膀胱內,指向膀胱腔內一個中等密度的充填缺損(filling defect)或軟組織腫塊,提示為膀胱腫瘤(bladder tumor),其密度低於周圍的含碘對比劑
- 骨盆兩側軟組織:可見梨狀肌、閉孔內肌等骨盆腔壁肌肉群
- 無胃的可見結構:此切面高度(骨盆腔層級)遠低於腹腔,胃不會出現在此切面;影像中無任何胃的特徵(胃在上腹部,位於橫膈以下、肚臍以上)
影像判讀結論:此為骨盆腔切面,中央亮白結構為含對比劑的膀胱,T 處為膀胱內疑似腫瘤,而非胃。
...(解析預覽)...

升級 VIP 解鎖圖文解析