108年:放射診斷(2)
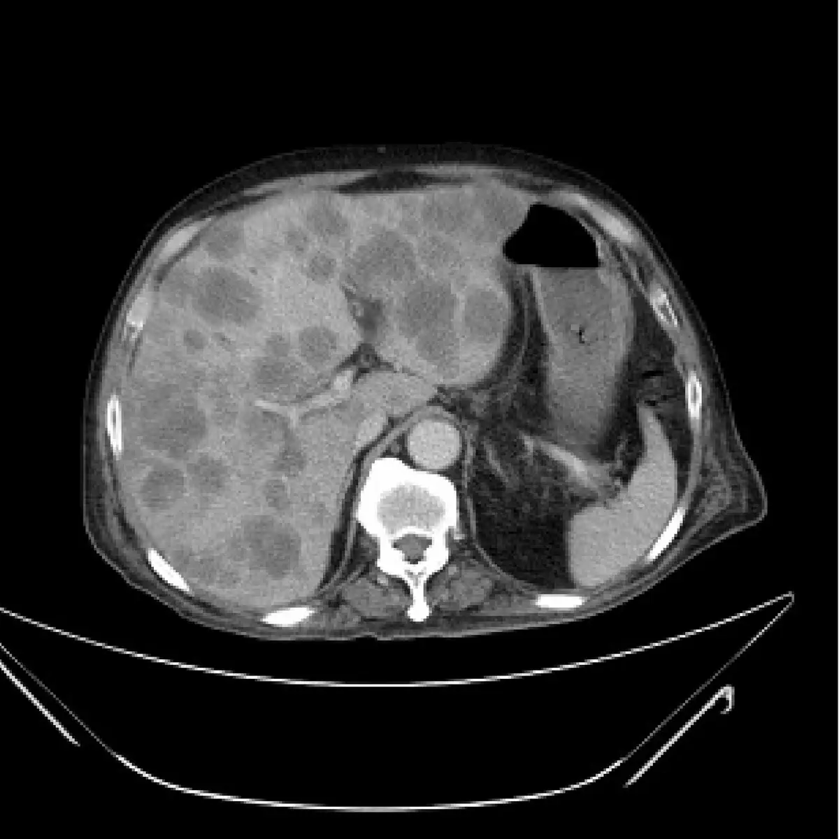
下圖 為腹部電腦斷層攝影影像,最可能的診斷為下列何者? 
A肝硬化
B肝出⾎
C脂肪肝
D轉移癌
詳細解析
本題觀念:
本題考核腹部電腦斷層攝影(computed tomography, CT)中肝臟多發性病灶的影像判讀能力。核心重點在於:肝臟轉移癌(hepatic metastases)在 CT 上呈現的多發性低密度病灶,與肝硬化再生結節、肝出血、脂肪肝的影像特徵鑑別。
影像分析:
本題 CT 影像為腹部橫切面(axial view),以門靜脈期(portal venous phase)或對比增強後呈現。影像所見:
- 肝臟(右側大區域):肝臟體積正常至略大,整體輪廓規則,無結節狀外觀(排除肝硬化可能)。肝實質內可見多發性、大小不一的圓形/橢圓形低密度(hypodense)病灶,散布於全肝各葉,數量達 10 個以上,部分病灶邊緣可見輕微環狀強化(ring enhancement),呈現典型「瑞士乳酪」(Swiss cheese pattern)外觀。
- 肝臟密度:整體肝實質密度正常(無瀰漫性密度降低,可排除脂肪肝);無高密度區域(排除急性出血)。
- 脾臟、腎臟:體積外觀正常,無腹水,無肝門靜脈高壓徵象。
- 脊椎:中央可見脊椎骨呈高密度,為正常骨骼影像。
影像判讀結論:多發性低密度病灶散布全肝,邊緣有環狀強化,最符合肝臟轉移癌影像特徵。
選項分析
(A) 肝硬化 肝硬化(liver c
...(解析預覽)...

升級 VIP 解鎖圖文解析