108年:放射診斷(2)
附圖中,最可能是以那種 window 與level 呈現? 
Awindow :400 ,level :40
Bwindow :85 ,level :35
Cwindow :2000 ,level :600
Dwindow :1700 ,level :-600
詳細解析
本題觀念:
本題考核 CT 影像視窗(window/level)設定的判讀能力。視窗寬度(window width, WW)決定灰階顯示的 Hounsfield unit (HU) 範圍;視窗中心(window level, WL)決定灰階的中心 HU 值。不同組織的最佳顯示需搭配對應的 window/level 設定。
影像分析:
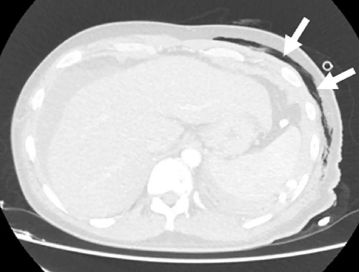
本題附圖為胸部 CT 橫切面影像,影像特徵如下:
- 整體外觀:影像以淡灰色調為主,背景接近白色,骨骼(肋骨、椎體)呈明顯亮白色。
- 肺實質:肺部顯示為深灰至黑色,空氣腔(-1000 HU)呈暗黑色,與軟組織形成明顯對比——這是**肺窗(lung window)**的典型表現。
- 軟組織:胸壁肌肉和縱隔結構呈較淡灰白色,細節分辨度低(肺窗對軟組織解析度較低)。
- 箭頭指示:左側胸壁外側有兩個白色箭頭,指向一個細小圓形低密度結構(可能為氣胸、皮下氣腫或胸壁病灶)。
- 判讀:影像整體呈現為肺窗(lung window)——寬視窗(wide window width ≈1500–2000 HU)搭配低(負值)視窗中心(level ≈-600 至 -700 HU),使空氣顯示為黑色、肺組織灰色、軟組織偏白。
影像判讀結論:此影像為肺窗設定,最符合 window 1700,le
...(解析預覽)...

升級 VIP 解鎖圖文解析