108年:放射診斷(2)
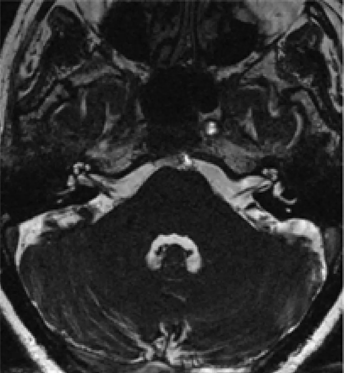
附圖最可能 為下列中何種脈衝序列所產⽣的 MR 影像? 
Aecho planar imaging
Bdiffusion weighted imaging
Cfluid attenuated inversion recovery
Dconstructive interference in steady state
詳細解析
本題觀念:
本題考察 MRI 脈衝序列(pulse sequence)的影像特徵辨識,重點在於辨別 CISS(Constructive Interference in Steady State)序列的典型影像外觀。CISS 是穩態自由進動(steady-state free precession, SSFP)家族的 3D 梯度回波序列,以 T2/T1 訊號對比為基礎,產生腦脊髓液(cerebrospinal fluid, CSF)高亮度、神經組織對比極佳的影像,廣泛用於後顱窩(posterior fossa)及腦神經(cranial nerve)的高解析度成像。
影像分析:
附圖為後顱窩層面的軸位(axial)MRI 影像,顯示小腦(cerebellum)及相鄰結構。影像特徵如下:
- CSF 呈極高訊號(亮白色):腦脊髓液在整張影像中呈現明亮的白色訊號,與周圍神經組織形成鮮明對比。這是 T2/T1 訊號加權的 SSFP 序列特徵——CSF 的 T2/T1 比值高,導致其訊號遠高於腦實質。
- 空間解析度極高:小腦葉(cerebellar folia)的細微結構及腦溝(sulci)均清晰可辨,達次毫米級(submillimeter)解析度,這是 3D CISS 序列的標誌性優勢。
- 無擴散限制模式:影像並非 DWI 的擴散加權對比
...(解析預覽)...

升級 VIP 解鎖圖文解析