108年:放射診斷(2)
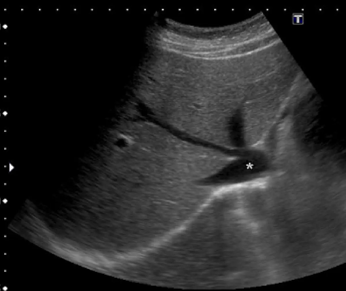
下圖 為腹部超⾳波的影像,圖中星號所指為何? 
A下腔靜脈
B⾨靜脈
C腹主動脈
D上腔靜脈
詳細解析
本題觀念:
本題考查腹部超音波影像中腹部大血管的辨識,重點為下腔靜脈(inferior vena cava, IVC)的超音波解剖定位。在腹部超音波中,肝臟右葉後方/後下方的肋下或右肋間切面,可見數條主要血管,需依位置、形態及其與周圍組織的關係加以辨識。
影像分析:
影像為右側肋下或右肋間斜切面的腹部超音波圖,視野中可見大範圍肝臟實質(灰色均勻回聲)。星號(*)標記的結構位於影像右側偏後下方、肝後間隙處,呈橢圓形無回聲(anechoic)管狀結構,管壁薄而稍有回聲,形態與下腔靜脈(IVC)一致。
辨識要點:
- 位置:位於脊柱右前方、肝後方,為 IVC 的標準走行位置(腹主動脈位於脊柱左前方)
- 形態:管壁薄(IVC 為薄壁靜脈),呈橢圓形橫切面
- 無門脈特徵:門靜脈(portal vein)位置較前,且門靜脈壁有高回聲的纖維組織包圍(portal tracts),與 IVC 可區別
- 無搏動增強回聲:腹主動脈呈圓形、管壁較厚、具有明顯搏動,可排除
- 上腔靜脈(superior vena cava, SVC):位於胸腔內,腹部超音波無法見到,可直接排除
選項分析
(A) 下腔靜脈 — 正確。影像星號所指之無回聲管狀結構,位於肝後偏右側、脊柱右前方,為 IVC 的典型超音波表現。IVC 在此切面常呈
...(解析預覽)...

升級 VIP 解鎖圖文解析