108年:放射診斷(2)
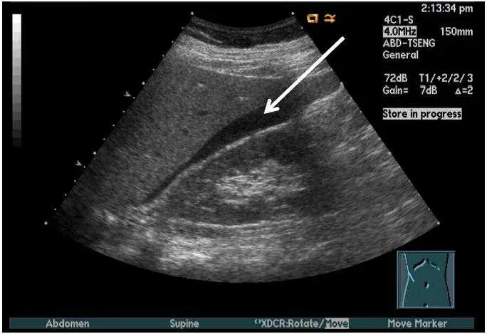
附圖所⽰ 為腹部超⾳波影像,箭號所指為下列何者? 
A脾窩( splenic fossa )
B腎窩( renal fossa )
CMorison 隱窩( Morison's pouch )
DDouglas 隱窩( Douglas pouch )
詳細解析
本題觀念:
本題考核腹部超音波解剖空間的辨識,重點為 Morison 隱窩(Morrison's pouch)的正常解剖位置與超音波影像表現。Morison 隱窩即肝腎隱窩(hepatorenal recess),是腹腔內在仰臥姿勢下最低的腹膜腔間隙,也是腹部超音波 FAST(Focused Assessment with Sonography in Trauma)檢查的核心標的。
影像分析:
影像為腹部超音波,探頭標示為 4C1-S(4.0 MHz 曲線探頭),掃描平面標示「Abdomen」,病人姿勢為仰臥(Supine)。畫面中可見:
- 前方:肝臟右葉(liver),呈均勻中等回音的實質結構。
- 後方:右腎(right kidney),可辨認其稍低回音的腎實質輪廓。
- 白色箭號所指:兩者之間出現一新月形(crescent-shaped)低回音至無回音(anechoic)條狀空間,位於肝臟下緣與腎臟前上方之間的界面。此即 Morison 隱窩,在此影像中其內有少量游離液體,呈現暗色帶狀。這是超音波上辨識 Morison 隱窩最典型的影像表現。
選項分析
(A) 脾窩(splenic fossa) 脾窩位於左上腹,在脾臟周圍。正常情況下脾腎之間的空間(脾腎隱窩)在左側影像中才能見到;本影像探頭標示為右上腹掃描(ABD
...(解析預覽)...

升級 VIP 解鎖圖文解析