108年:放射診斷(2)
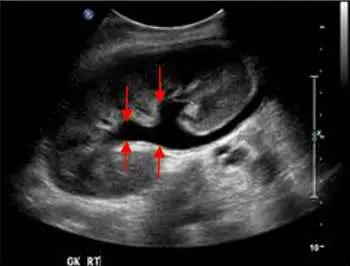
超⾳波掃描如附圖,箭號所指 為何? 
A腎錐體
B腎⽪質
C腎盂⽔腫
D腎內出⾎
詳細解析
本題觀念:
本題考查腎臟超音波的影像判讀,重點為**腎盂水腫(hydronephrosis)**的超音波表現。腎盂水腫指腎臟集尿系統(腎盂與腎盞)因尿路阻塞或逆流導致擴張積水,在超音波上呈現特徵性的無回聲(anechoic)分支狀液體空間。
影像分析:
圖中標示為「GK RT」(右腎),可見:
- 腎臟整體輪廓尚可辨認,腎皮質回聲相對保留
- 四支紅色箭號分別指向腎臟中央集尿系統區域內多個無回聲(黑色)的液體空間
- 這些無回聲區彼此相通、呈分支狀排列,中央腎盂明顯擴大,腎盞亦同步擴張
- 典型的「熊掌徵(bear's paw sign)」形態——中等至中重度腎盂水腫
- 腎竇脂肪回聲被液體取代,腎盂—腎盞系統界線模糊
- 不見孤立性囊腫(非通連性)、不見腎內出血(出血呈高回聲或混合回聲,非純無回聲)
選項分析
(A) 腎錐體(renal pyramid) 腎錐體(髓質錐體)正常時在超音波上呈略低回聲的三角形結構,位於皮質深方,不呈現相通的大型無回聲液體空間。若腎錐體回聲減低,需考慮急性腎小管壞死或腎盂腎炎,但不會形成如圖所示的分支連通無回聲區。
(B) 腎皮質(renal cortex) 腎皮質在超音波上呈中等均勻回聲,環繞腎臟外圍,不呈無回聲,亦無分支狀液體排列。圖中箭號所指位於腎臟中央,與皮質位置不符。
**(C) 腎盂
...(解析預覽)...

升級 VIP 解鎖圖文解析