108年:放射基礎(1)
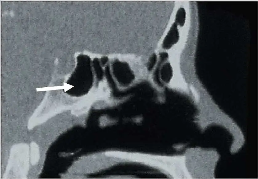
附圖 為一頭部 CT 矢狀切面圖,箭號所標示的構造為何? 
A額竇( frontal sinus )
B篩竇( ethmoidal sinus )
C上頜竇( maxillary sinus )
D蝶竇( sphenoidal sinus )
詳細解析
本題觀念:
副鼻竇(paranasal sinuses)包括額竇(frontal sinus)、篩竇(ethmoidal sinus)、上頜竇(maxillary sinus)和蝶竇(sphenoidal sinus)。在頭部 CT 矢狀切面上,各竇腔位置不同,蝶竇是位置最深後的副鼻竇,緊位於蝶骨體內、蝶鞍(sella turcica)下方。
影像分析:
本題附圖為頭部 CT 矢狀切面(sagittal view),影像為骨窗(bone window),顯示顱底中線區域的氣腔結構:
- 影像右側(前方)可見鼻腔輪廓及上方的額竇區域(影像右上角較小的氣腔)。
- 影像中央偏後方有一較大的不規則氣腔,呈現低密度(黑色),代表充氣的竇腔。
- 白色箭號指向該氣腔位於後鼻腔正後方、顱底中央深部的位置,緊鄰蝶鞍下方。此氣腔的位置特徵——位於鼻腔後方、蝶鞍正前下方、頭顱中央深部——完全符合 蝶竇(sphenoidal sinus) 的解剖位置。
- 上方可見蝶鞍的骨性輪廓(高密度骨性標記),蝶竇位於其下。
- 額竇(frontal sinus)位於影像前上方,位置較淺;篩竇(ethmoidal sinus)位於鼻腔上方兩側;上頜竇(maxillary sinus)位於上頜骨內側面,不位於矢狀中線深部。
箭號所指為 **蝶竇(sphenoidal sinus
...(解析預覽)...

升級 VIP 解鎖圖文解析