108年:放射診斷(1)
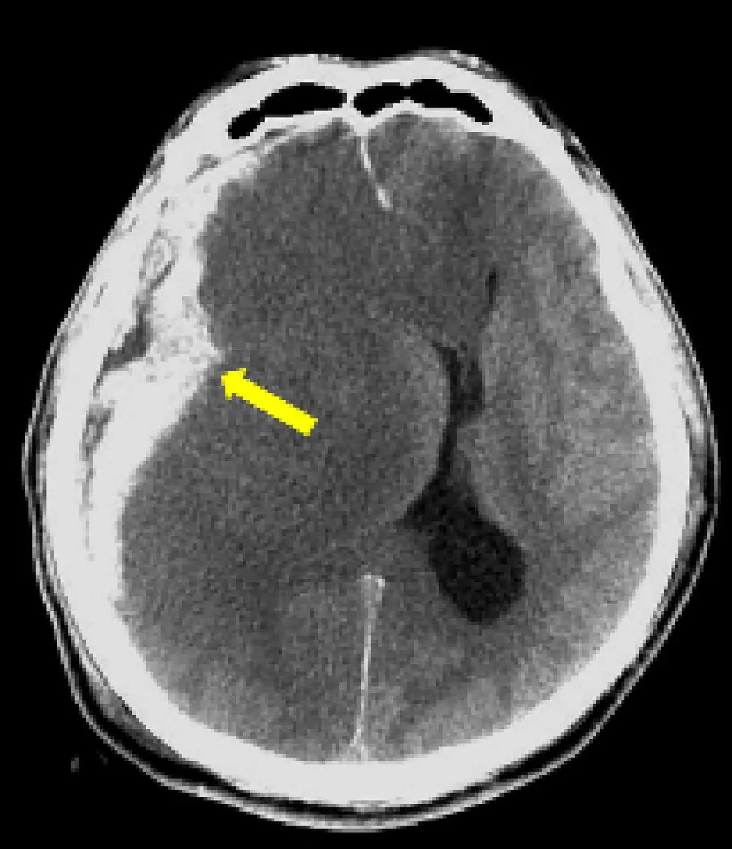
如圖箭號所指,診斷為何? 
A腦腫瘤
B蛛網膜下腔出血
C硬膜外腔出血
D硬膜下腔出血
詳細解析
本題觀念:
本題考核腦部電腦斷層(CT)影像判讀,重點在區別四種顱內出血/病變的影像形態特徵:腦腫瘤、蛛網膜下腔出血(subarachnoid hemorrhage, SAH)、硬膜外腔出血(epidural hematoma, EDH)、硬膜下腔出血(subdural hematoma, SDH)。
影像分析:
本圖為腦部非增強 CT(non-contrast CT brain)橫斷面影像:
- 影像類型:腦部 CT 橫斷面(axial view)
- 箭號所指:右側大腦半球外側,緊鄰顱骨內板,呈現一月牙形(crescent-shaped)高密度影(hyperdense collection)
- 分布特徵:血腫沿顱骨內板走行,邊界呈內凹弧形(concave toward the brain),向腦實質方向凹陷
- 跨縫特性:病灶跨越骨縫(suture lines),未受骨縫限制
- 佔位效應:右側大腦半球受壓,腦中線向左偏移(midline shift to the left),顯示明顯佔位效應
- 右側側腦室:受壓縮小
- 左側:可見另一深色區域,可能為對側代償性改變或既有病灶
上述影像特徵高度符合**急性硬膜下腔出血(acute subdural hematoma)**的典型表現。
...(解析預覽)...

升級 VIP 解鎖圖文解析