108年:放射診斷(1)
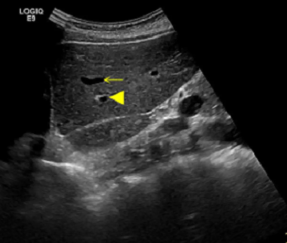
附圖為肝臟超音波影像,箭頭( ◄)以及箭號( ←)所指分別為何? 
A肝靜脈、門靜脈
B兩者皆 為肝靜脈
C兩者皆 為門靜脈
D門靜脈、肝靜脈
詳細解析
本題觀念:
肝臟超音波(liver ultrasound)影像中,門靜脈(portal vein)與肝靜脈(hepatic vein)的影像特徵辨識——主要依據血管壁回音強度(wall echogenicity)及走行方向加以區分。
影像分析:
本題影像為 GE LOGIQ E9 超音波儀器所取得的肝臟橫切面(transverse/oblique)灰階超音波影像。影像中央可見兩個無回音(anechoic)的圓形管狀截面,各有不同的標記符號:
-
箭頭符號(◄,arrowhead,填實三角形):指向位置較下方的管狀結構,管壁可見明顯高回音(hyperechoic wall),壁厚且邊緣清晰、明亮。此為 門靜脈(portal vein) 的典型超音波特徵——因門靜脈壁含有 Glisson 氏囊(Glisson's capsule)的纖維脂肪組織,在廣泛的聲波入射角度下均呈高回音。
-
箭號符號(←,arrow,一般箭頭):指向位置較上方的管狀結構,管壁薄且回音較低(thin, relatively hypoechoic wall),邊緣較不清晰。此為 肝靜脈(hepatic vein) 的典型超音波特徵——因肝靜脈壁主要由緊密平行排列的膠原纖維組成,屬於鏡面反射體(specular reflector),僅在聲束與血
...(解析預覽)...

升級 VIP 解鎖圖文解析