108年:放射診斷(1)
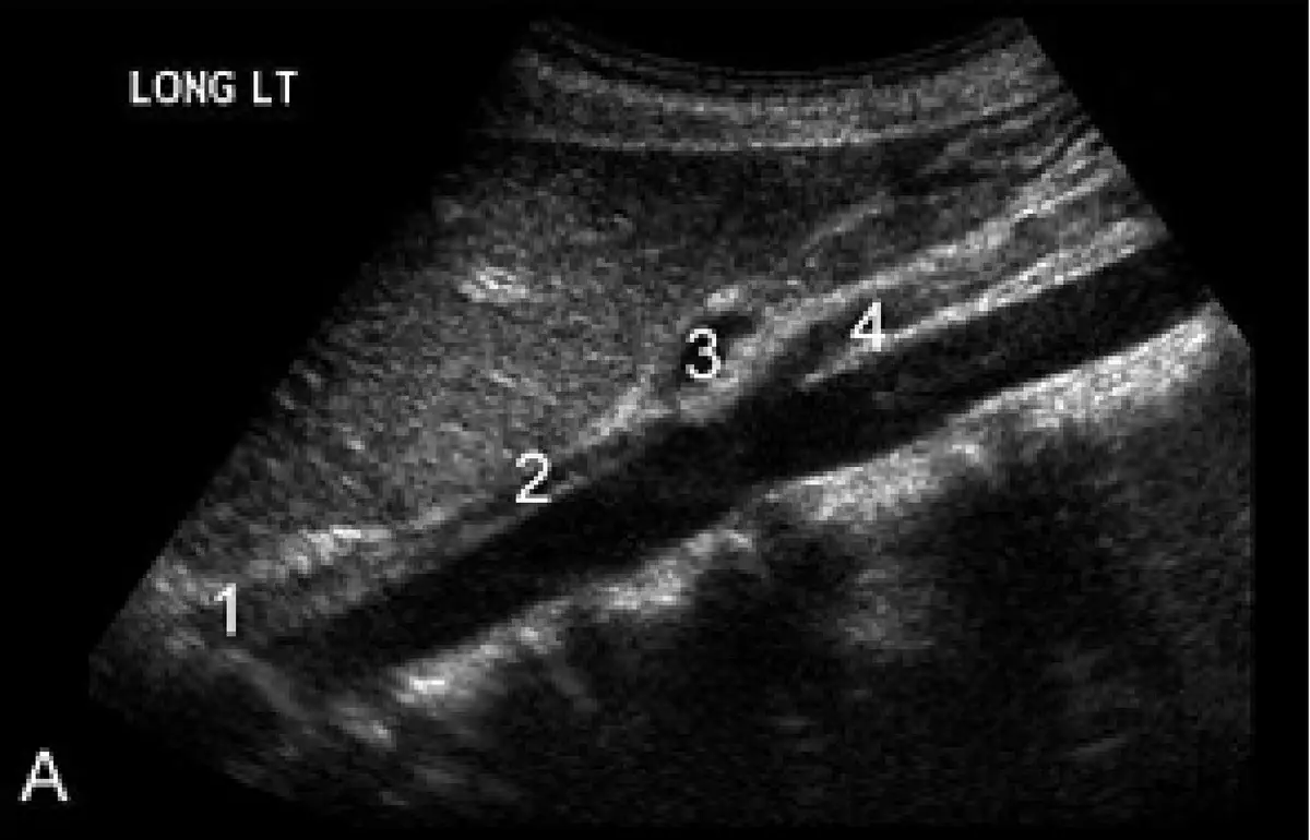
附圖為腹部縱向超音波掃描影像,編號 3為下列何者? 
Aaorta
Bceliac trunk
Chepatic vein
Dsuperior mesenteric artery
詳細解析
本題觀念:
本題考察腹部縱向超音波(longitudinal abdominal ultrasound)掃描中主動脈及其分支的解剖辨識能力,特別是腹腔動脈幹(celiac trunk)、上腸繫膜動脈(superior mesenteric artery, SMA)與主動脈(aorta)在矢狀切面的相對位置關係。
影像分析:
圖片標示「LONG LT」,為腹部左側縱向(矢狀)超音波掃描影像,可見四個編號的管狀無回音(anechoic)結構:
- 編號 1(影像左下方,最大管徑):位於後方、管徑最粗的管狀結構,為主動脈(aorta)。
- 編號 2(自主動脈前壁往右上方斜行的較大血管):從主動脈前壁分出、斜向前上方走行,為上腸繫膜動脈(SMA)。SMA 在縱向掃描中與主動脈形成典型的平行走行,並可見其夾住左腎靜脈(left renal vein)的解剖特徵。
- 編號 3(位於編號 2 分支起始處的上方小血管結構):位於主動脈前壁更靠近頭側(cranial)的短小分支,緊鄰膈肌下方,即為腹腔動脈幹(celiac trunk)。腹腔動脈幹從主動脈前壁於 T12 椎體水準分出,為腹主動脈的第一個前分支,走行極短後即分為肝總動脈(common hepatic artery)和脾動脈(splenic artery),形成「海鷗
...(解析預覽)...

升級 VIP 解鎖圖文解析