108年:放射診斷(1)
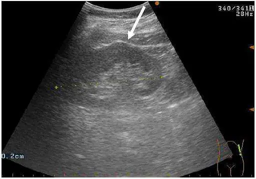
附圖中腎臟凸出之處(箭號所指)為下列何者? 
Acolumn of Bertin
Bjunctional parenchymal defect
Cdromedary hump
Drenal infarct
詳細解析
本題觀念:
本題考察腎臟超音波中常見的**正常解剖變異(normal anatomical variants)**辨識能力,特別是腎臟輪廓凸出的各種成因鑑別,包括駱駝峰(dromedary hump)、柏丁氏柱(column of Bertin)肥大、交界性腎實質缺損(junctional parenchymal defect)與腎臟梗塞(renal infarct)的超音波影像特徵差異。
影像分析:
影像顯示一個腎臟的超音波掃描,白色箭號指向腎臟上方輪廓一處明顯的局部凸出(focal bulge)。主要影像特徵如下:
- 位置:凸出位於腎臟外側(lateral)上緣,即腎臟輪廓的上外側邊界
- 回音性(echogenicity):凸出區域的回音性與相鄰腎實質(renal parenchyma)完全相同,無回音增強或減弱,無邊界不清或不均質改變
- 形態:平滑的弧形凸出,與正常腎臟輪廓連續,無突兀分界
- 無佔位效應:無腎竇(renal sinus)受壓或變形的跡象
- 測量標記:影像下方可見測量卡尺(calipers),顯示此為左腎(與脾臟位置相鄰的腎臟)
上述特徵高度符合駱駝峰(dromedary hump):即因左腎緊鄰脾臟,受脾臟長期壓迫塑形所致的外側輪廓局部凸出,屬正常解剖變異。
選項分析
...(解析預覽)...

升級 VIP 解鎖圖文解析