108年:放射診斷(1)
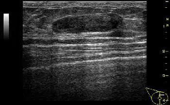
15 歲女孩乳房超音波檢查呈現病灶如附圖,最有可能的診斷為下列何者? 
A良性纖維腺瘤
B良性 囊腫
C惡性乳癌
D良性脂肪瘤
詳細解析
本題觀念:
乳房超音波是青少年及年輕女性乳房腫塊的首選影像工具。纖維腺瘤(fibroadenoma)是青少年最常見的良性乳房腫塊,在超音波上有特徵性的典型表現,能與囊腫(cyst)、脂肪瘤(lipoma)及惡性腫瘤做有效鑑別。
影像分析:
本題附圖為乳房 B-mode(灰階)超音波影像:
- 病灶形狀:橢圓形(oval),邊界清晰(well-circumscribed)
- 方向:平行於皮膚(parallel orientation),呈橫向排列
- 回音性:均勻低回音(uniformly hypoechoic)
- 邊緣:光滑、規則,無毛刺(smooth, regular margins without spiculation)
- 後方回音:無明顯增強或衰減(no significant posterior features)
- 周圍組織:無侵犯或破壞跡象
- 尺寸:中等大小(約 2–3 cm 估算)
影像判讀結論:橢圓形、界限清楚、均勻低回音、平行方向的實質腫塊,為良性纖維腺瘤的典型超音波表現(BI-RADS 3 類別)。
選項分析
(A) 良性纖維腺瘤 ✅ 超音波表現:橢圓形、邊界清楚、均勻低回音、平行皮膚方向,完全符合纖維腺瘤的典型影像特徵。纖維腺瘤是 15
...(解析預覽)...

升級 VIP 解鎖圖文解析