108年:放射診斷(1)
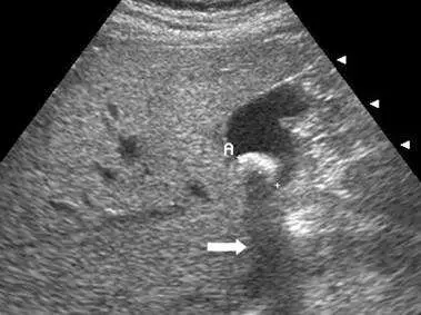
附圖為上腹部超音波影像,箭號所指為下列何者? 
A彗尾假影( comet tail artifact )
B鏡像假影( mirror image artifact )
C音波陰影( acoustic shadowing )
D多重回音假影( reverberation artifact )
詳細解析
本題觀念:
本題考查超音波假影(ultrasound artifact)的辨識,重點在於辨認上腹部超音波影像中箭號所指的特定假影。正確答案為音波陰影(acoustic shadowing),這是超音波遇到高衰減係數結構(如膽結石、骨骼)時所產生的典型假影。
影像分析:
影像為上腹部橫切面超音波,可見膽囊(gallbladder)區域,膽囊內出現強回音(hyperechoic)的結構,代表膽結石(gallstone)。箭號指向膽結石後方的一條黑暗帶狀無回音區,向下延伸,這就是音波陰影(acoustic shadowing)的典型表現。影像右側可見幾個三角形箭頭標記(arrowheads),指向膽囊邊緣。陰影邊緣清晰乾淨(clean shadow),為膽結石等鈣化結構的特徵。
選項分析
(A) 彗尾假影(comet tail artifact) 彗尾假影屬於混響假影(reverberation artifact)的一種,由兩個緊密間隔的強反射面之間反覆反射所產生。外觀呈三角形、錐狀的強回音尾巴,由近而遠逐漸減弱消失(tapered tail),常見於膽囊壁膽固醇結晶(cholesterol crystal)或金屬針頭。特徵是向深部逐漸變細消失,而非形成黑暗帶狀陰影。本圖不符合。
**(B) 鏡像假影(mirror image artifac
...(解析預覽)...

升級 VIP 解鎖圖文解析