107年:放射診斷(2)
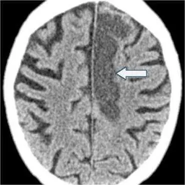
下圖箭號所指的診斷為何? 
A梗塞(infarction )
B出血(hemorrhage )
C腫瘤(tumor )
D骨折(fracture )
詳細解析
本題觀念:
腦部 CT(computed tomography)影像判讀,重點在於腦梗塞(infarction)、腦出血(hemorrhage)、腦腫瘤(tumor)及骨折(fracture)在 CT 上的密度特徵與鑑別診斷。腦梗塞在 CT 上呈現低密度(hypodense)區域,是醫事放射師必須熟練辨識的核心影像特徵。
影像分析:
本題圖片為腦部 CT 平掃(non-contrast CT)橫切面(axial slice),影像特徵如下:
- 影像模態:頭部 CT,腦部軸切面,腦窗(brain window)設定
- 箭號所指位置:白色箭號指向左側大腦半球(left cerebral hemisphere)的一處異常區域
- 異常區域特徵:箭號指向的區域呈現明顯的低密度(hypodense)改變,與周圍正常腦組織相比顏色較深(darker area),邊界不甚清楚,範圍較大,累及皮質(cortex)及皮質下白質(subcortical white matter)
- 周圍結構:對側(右側)腦組織密度相對正常;腦室系統隱約可辨;灰白質界面(gray-white matter differentiation)在病灶側模糊
- 無高密度影:病灶區域未見高密度(hyperdense)出血訊號
此低密度區域分佈符合腦部血管
...(解析預覽)...

升級 VIP 解鎖圖文解析