107年:放射診斷(2)
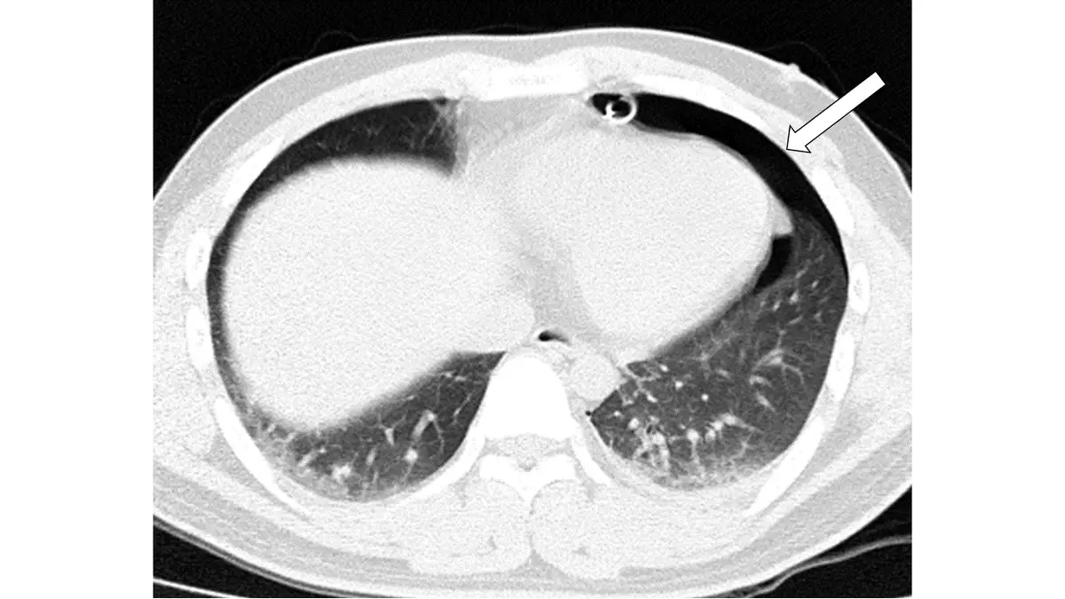
胸部外傷病人電腦斷層攝影呈現如下圖,有關箭號所指下列那一項最正確? 
Apneumoperitoneum
Bpneumoretroperitoneum
Cpneumothorax
Dpneumonia
詳細解析
本題觀念:
胸部外傷後電腦斷層(CT)影像辨識氣胸(pneumothorax)。氣胸是指空氣進入肋膜腔(pleural space),導致肺臟塌陷的狀態。在胸部外傷中,氣胸是僅次於肋骨骨折(rib fracture)最常見的併發症,約發生於半數胸部外傷病人。CT 對氣胸的偵測靈敏度遠高於傳統胸部 X 光,尤其是隱匿性氣胸(occult pneumothorax)。
影像分析:
本圖為胸部軸位 CT,肺窗(lung window)設定。影像中可見:
- 右側肺臟(影像左側):肺葉充氣良好,可見正常血管紋路(vascular markings)分布均勻,肋膜緊貼胸壁。
- 左側胸腔(影像右側):箭號所指處可見左側前外側肋膜腔內有大片黑色無血管紋路的空氣蓄積區,呈現典型「無肺紋帶狀區」。左肺受壓縮,肺組織被推向縱膈(mediastinum)側,影像中仍可見殘餘肺組織(含血管紋路)集中於中內側。
- CT 氣胸特徵:臟層肋膜(visceral pleura)與壁層肋膜(parietal pleura)之間出現游離氣體,該區域完全無肺血管影,此為氣胸的決定性影像表現。
- 箭號明確指向左側胸壁與肺邊緣之間的無回聲(低密度)空氣帶,符合氣胸診斷。
選項分析
(A) pneumoperitoneum(氣腹) 氣腹是指腹腔內有游離空氣,常
...(解析預覽)...

升級 VIP 解鎖圖文解析