107年:放射診斷(2)
下圖中箭號所指的構造為何? 
A門靜脈(portal vein )
B下腔靜脈( inferior vena cava )
C腹主動脈( abdominal aorta )
D總膽管(common bile duct )
詳細解析
本題觀念:
腹部電腦斷層(CT)橫截面解剖辨識,重點在於分辨下腔靜脈(inferior vena cava, IVC)、門靜脈(portal vein)、腹主動脈(abdominal aorta)與總膽管(common bile duct)的位置與影像特徵。
影像分析:
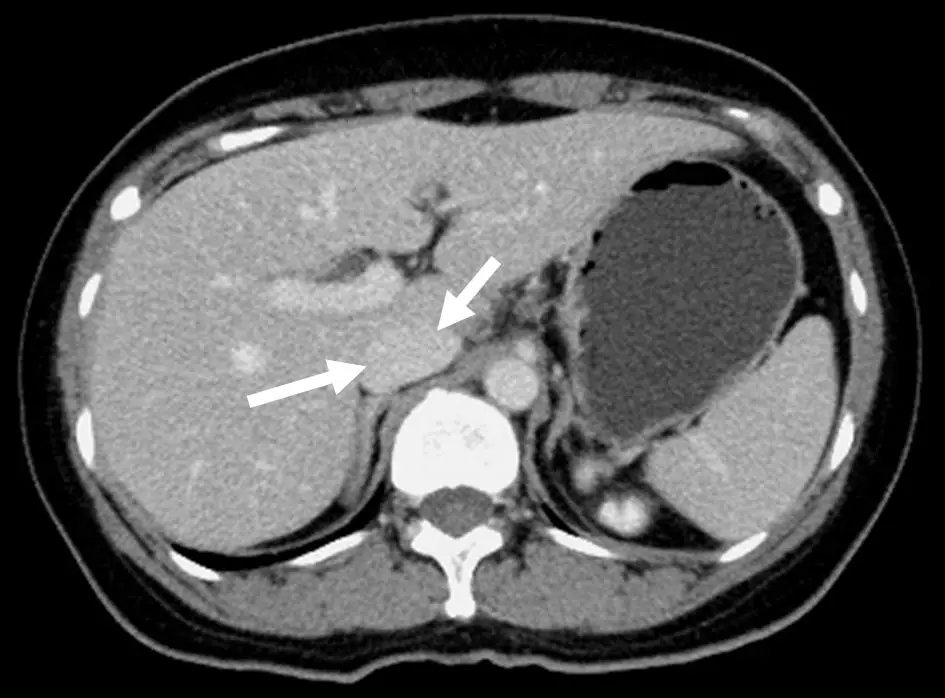
本圖為腹部軸位 CT,顯示上腹部橫截面,可見以下結構:
- 影像右側(病人右側):大片均勻密度的肝實質(liver parenchyma),可見肝內血管走行。
- 影像左側(病人左側):脾臟(spleen),呈現較肝臟稍低的均勻密度。
- 兩支白色箭號:
- 左側較短箭號(朝右下方指):指向位於肝臟內側、門靜脈(portal vein)走行方向的圓形管狀結構,位於肝門部(porta hepatis)附近。
- 右側較長箭號(朝右上方指):明確指向位於脊椎(vertebral column)右前方的橢圓形低密度管狀結構,此位置即為**下腔靜脈(IVC)**的典型解剖位置。
- IVC 在腹部 CT 上位於脊椎的右前外側,走行於腹膜後腔(retroperitoneal space),因為本圖為非增強或靜脈期掃描,IVC 呈現低密度(血液)的橢圓形截面,明顯與右側的腹主動脈(位於脊椎左前方)相對應。
- 箭號所指的結構大小、位置、形態,均符合 IV
...(解析預覽)...

升級 VIP 解鎖圖文解析