107年:放射診斷(2)
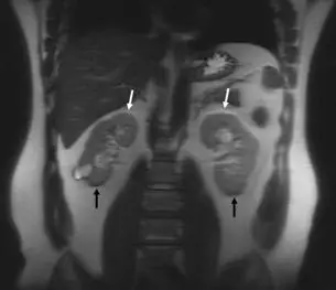
下圖為磁振影像,箭號所指為何種現象引起? 
A化學位移( chemical shift )
B截斷(truncation )
C移動(motion )
D串擾(cross-talk )
詳細解析
本題觀念:
本題考 MRI 中「化學位移偽影(chemical shift artifact)」的第一類型,即脂肪與水質子之間因共振頻率差異,導致在頻率編碼方向(frequency-encode direction)上產生空間性錯位映射(spatial mismapping),於脂-水交界面形成一側暗帶、另一側亮帶的特徵性影像表現。
影像分析:
影像為雙腎冠狀切面 MRI(Coronal view)。白色箭號(↓)指向雙側腎臟的上緣,可見明顯的亮帶(高訊號帶);黑色箭號(↑)指向雙側腎臟的下緣,可見明顯的暗帶(低訊號帶)。這種在器官邊界一側出現亮帶、另一側出現暗帶的對稱性表現,是化學位移第一類偽影的經典影像特徵。腎臟為含水組織,周圍被腎周脂肪(perirenal fat)包圍,脂-水交界面因頻率差異而產生像素空間錯位,形成本圖所見的黑白邊框現象。
選項分析
(A) 化學位移(chemical shift) — 正確答案。脂肪與水中的氫質子因化學環境不同,共振頻率相差約 3.4 ppm(1.5T 下約 215 Hz、3.0T 下約 430 Hz)。空間定位使用頻率編碼梯度時,系統誤以為脂肪質子的訊號來自頻率對應的另一個位置,導致脂-水交界面兩側分別出現訊號疊加(亮帶)與訊號缺失(暗帶)。本圖雙腎上緣亮帶、下緣暗帶即為此偽影的典型表現
...(解析預覽)...

升級 VIP 解鎖圖文解析