107年:放射診斷(2)
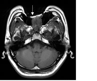
下圖為頭部 MRI 影像,箭號所指假影,最可能是何種原因所造成? 
A病人打嗝
B金屬假牙
C病人眨眼睛
D病人吞嚥口水
詳細解析
本題觀念:
MRI 影像中金屬假牙造成的磁敏感性假影(susceptibility artifact)辨識,以及與各類運動假影(motion artifact)的鑑別診斷。
影像分析:
本圖為頭部軸向(axial) MRI 影像,切面位於後顱窩(posterior fossa)/顱底(skull base)水平,可清楚辨識小腦(cerebellum)、腦幹(brainstem)及雙側顳葉(temporal lobes)等結構。白色箭號指向影像前方中線區域(對應口腔/上齒列解剖位置),可見明顯的影像異常,其特徵包括:
- 局灶性訊號喪失(focal signal void):箭號所指處出現完全黑暗的不規則區域,訊號完全缺失
- 幾何變形(geometric distortion):假影周圍的解剖結構出現明顯的空間扭曲,正常組織輪廓失真
- 訊號堆積(signal pile-up):在訊號缺失區域的邊緣可見異常亮帶,為被錯誤定位的訊號堆積所致
- 假影位置固定:假影精確位於口腔/牙齒區域對應的解剖位置,不隨相位編碼方向分布
上述四項特徵構成典型的**磁敏感性假影(susceptibility artifact)**表現,與金屬假牙(如鎳鉻合金 Ni-Cr、鈷鉻合金 Co-Cr)所處位置完全吻合。
選項分析
**(
...(解析預覽)...

升級 VIP 解鎖圖文解析