107年:放射診斷(2)
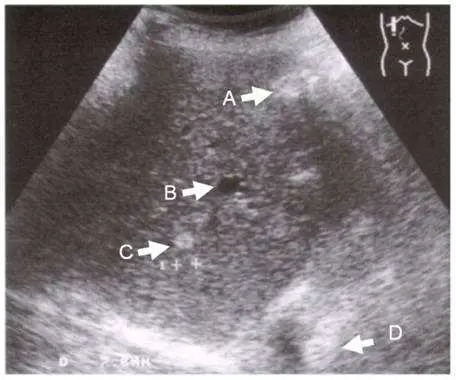
下圖為肝臟超音波影像,何者最可能為單純肝臟囊腫( simple cyst )? 
AA
BB
CC
DD
詳細解析
本題觀念:
肝臟超音波影像中單純囊腫(simple hepatic cyst)的典型超音波特徵辨識,以及與其他常見肝臟病灶(血管瘤、複雜囊腫等)的鑑別診斷。
影像分析:
本圖為肝臟超音波(B-mode ultrasound)影像,呈現右上腹掃描的肝臟實質。影像右上角標示有人體方位圖示,協助定位。圖中以 A、B、C、D 四個白色箭號分別標記四個不同的肝臟病灶,需逐一判讀其超音波特徵:
-
A 箭號所指病灶:位於肝臟較上方淺層區域,呈現高回音(hyperechoic)表現,回音較周圍肝實質明亮,邊界可辨識,形態均勻。此高回音特徵最常見於肝血管瘤(hepatic hemangioma)——典型的超音波表現為均勻高回音、邊界清楚的小型病灶。不符合單純囊腫的無回音標準。
-
B 箭號所指病灶:位於肝臟中層區域,呈現完全無回音(anechoic)的圓形暗色病灶。其關鍵特徵包括:邊界清晰銳利(sharp well-defined border)、壁薄而光滑(thin smooth wall,幾乎不可見)、內部完全無回音(completely anechoic)、後方可見音波增強(posterior acoustic enhancement)。這四項特徵完整符合單純肝臟囊腫的超音波診斷標準。
-
*C 箭號所指病灶
...(解析預覽)...

升級 VIP 解鎖圖文解析