107年:放射診斷(2)
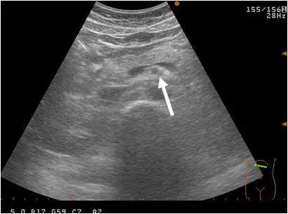
下圖為上腹部超音波影像,箭號所指的低回音圓形構造為何? 
A左腎靜脈( left renal vein )
B上腸繫繫 繫繫膜動脈( superior mesenteric artery )
C上腸繫繫 繫繫膜靜脈( superior mesenteric vein )
D脾動脈(splenic artery )
詳細解析
本題觀念:
本題考查上腹部超音波橫切面掃描中,腹腔主要血管的辨識。關鍵在於能夠根據解剖位置、回音特性及形態,正確區分上腸繫膜動脈(superior mesenteric artery, SMA)、上腸繫膜靜脈(superior mesenteric vein, SMV)、左腎靜脈(left renal vein)及脾動脈(splenic artery)在超音波影像上的外觀。
影像分析:
影像為上腹部超音波橫切面掃描(頻率設定 5.0 MHz),白色箭號指向影像中央偏右下方一個圓形低回音(hypoechoic)構造。該構造:
- 形態:呈圓形,邊界清晰
- 回音特性:內部為低回音至無回音,代表其內充滿血液(管腔結構)
- 位置:位於腹腔深部,胰腺體後方、腹主動脈前方,被高回音的腹膜後脂肪(retroperitoneal fat)所圍繞,形成典型的「牛眼徵(bull's eye sign)」或「靶環徵(target sign)」
- 特徵:周圍有一圈高回音脂肪環(echogenic halo),這是 SMA 在橫切面上最具特徵性的表現
此種圓形低回音結構周圍伴有高回音脂肪環的影像,是上腸繫膜動脈在橫切面超音波上的典型外觀。
選項分析
(A) 左腎靜脈(left renal vein) 左腎靜脈在超音波橫切面上也呈管狀
...(解析預覽)...

升級 VIP 解鎖圖文解析