107年:放射診斷(2)
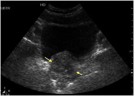
骨盆腔超音波掃描如下圖,箭號所指為何? 
A膀胱
B攝護腺
C儲精囊
D直腸
詳細解析
本題觀念:
本題考查男性骨盆腔超音波掃描中,骨盆腔結構的辨識。考生須能在膀胱(urinary bladder)充盈作為聲窗(acoustic window)的條件下,正確區分攝護腺(prostate)、儲精囊(seminal vesicles)、膀胱及直腸(rectum)在超音波影像上的位置與回音特性。
影像分析:
影像為男性骨盆腔超音波掃描,標記「UBTR」(上方)及「HD」字樣,使用經腹部(transabdominal)途徑掃描。影像中可見:
- 上方大型無回音構造:為充盈的膀胱(urinary bladder),呈均質無回音(anechoic),提供良好的聲學視窗
- 兩個黃色箭號:
- 左側黃色箭號(較大,指向膀胱後下方):指向一個中等回音、質地均勻的實質性構造,位於膀胱直接後方,輪廓清楚,形態呈半圓形或栗子形——此為攝護腺(prostate)
- 右側黃色箭號(較小,偏外側):指向攝護腺基底部後上方的管狀/囊狀低回音構造——此通常對應儲精囊(seminal vesicles)或攝護腺上極
- 攝護腺特徵:呈等回音至低回音(isoechoic to hypoechoic)實質構造,邊界清楚,位於膀胱正下方/後方,前方為恥骨聯合(pubic symphysis)
根據影像中箭號的主要指向及其解剖位置,
...(解析預覽)...