107年:放射診斷(2)
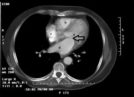
下圖 a、b、c、d所指最可能之解剖位置分別為何? 
Aa. 左心房 b. 左心室 c. 右心房 d. 右心室
Ba. 左心室 b. 左心房 c. 右心室 d. 右心房
Ca. 左心室 b. 右心室 c. 左心房 d. 右心房
Da. 左心室 b. 右心室 c. 右心房 d. 左心房
詳細解析
本題觀念:
本題考查胸部軸位(axial)電腦斷層掃描(computed tomography, CT)影像上四個心腔的辨識,包含左心室(left ventricle, LV)、右心室(right ventricle, RV)、左心房(left atrium, LA)及右心房(right atrium, RA)的解剖位置關係。這是醫事放射師必須熟練掌握的基礎心臟解剖判讀能力。
影像分析:
本題圖片為增強型軸位 CT(contrast-enhanced axial CT)掃描,掃描層面位於心臟中段水平。影像依標準放射科判讀慣例顯示,左側(L)標記在影像右方,右側(R)標記在影像左方。
四個標記位置分析:
- 標記 a:位於影像中左側,心臟厚壁結構,有箭號指向,周圍可見心肌壁較厚,形態呈橢圓/圓形,為左心室(left ventricle)。左心室壁厚度約為右心室的三倍,是最容易辨識的結構特徵。
- 標記 b:位於影像上方偏左,體積較大、位於前方的腔室,形態為三角形/月牙形,壁薄,為右心室(right ventricle)。右心室位於心臟最前方,圍繞左心室前方延伸。
- 標記 c:位於影像右側(患者左側),呈卵圓形,為右心房(right atrium)。右心房位於心臟右外側緣,上下腔靜脈在此匯入。
- 標記 d:
...(解析預覽)...