107年:放射診斷(2)
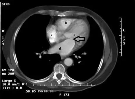
承上題【下圖 a、b、c、d所指最可能之解剖位置分別為何? 】附圖,箭號所指的解剖構造為何? 
A二尖瓣( mitral valve )
B主動脈瓣( aortic valve )
C三尖瓣( tricuspid valve )
D肺動脈瓣( pulmonary valve )
詳細解析
本題觀念:
本題承接上題,在同一張胸部軸位增強 CT 影像中,辨識箭號所指的解剖構造。本題考查心臟瓣膜的解剖位置與影像辨識,特別是二尖瓣(mitral valve)的位置——位於左心房(left atrium, LA)與左心室(left ventricle, LV)之間的房室瓣。
影像分析:
本題圖片與上題(第79題)為同一張增強型軸位 CT(contrast-enhanced axial CT)影像。
影像中箭號(→)指向的位置:
- 箭號位於影像中央偏左,指向心臟中央的解剖結構,位於標記 a(左心室)的入口處
- 該位置處於左心房與左心室的交界處(atrioventricular junction),即房室瓣所在位置
- 對照上題答案:標記 a = 左心室,標記 d = 左心房。兩者之間的瓣膜即為二尖瓣(mitral valve)
- 箭號所指的構造處於左側心腔的房室開口(left atrioventricular orifice),是二尖瓣瓣葉結構所在
由此可判斷箭號指向二尖瓣(mitral valve)。
選項分析
(A) 二尖瓣(mitral valve)✅
- 二尖瓣位於左心房與左心室之間,即本圖箭號所在位置。二尖瓣有兩片瓣葉(前葉 anterior leaflet 與後葉 posterior le
...(解析預覽)...

升級 VIP 解鎖圖文解析