106年:醫學三(2)
病人主訴急性上腹疼痛,噁心嘔吐,腹部電腦斷層檢查呈現如圖,下列那一項診斷最正確? 
Aacute gastritis
Bischemic bowel disease
Cacute duodenitis
Dacute pancreatitis
詳細解析
本題觀念:
本題考察急性上腹痛合併噁心嘔吐的鑑別診斷,重點在於判讀腹部電腦斷層(CT)影像所呈現的胰臟炎(acute pancreatitis)特徵性變化,並與急性胃炎(acute gastritis)、缺血性腸道疾病(ischemic bowel disease)及急性十二指腸炎(acute duodenitis)加以區分。
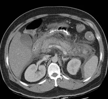
影像分析:
腹部 CT 橫切面(axial view)顯示:
-
胰臟(pancreas):胰臟體積明顯腫大,密度不均,邊界模糊不清。胰臟周圍(peripancreatic)脂肪組織出現典型的脂肪絞扭影(fat stranding),表現為脂肪密度升高、網狀混濁,反映急性發炎滲出。
-
胰周積液(peripancreatic fluid):胰臟周圍可見液體積聚,影像顯示胰腺前方及周圍有低密度液體,符合急性胰臟炎之胰周積液(peripancreatic fluid collection)。
-
周圍結構:雙側腎臟顯影對稱,無明顯腎臟病變。腸道無明顯腸壁增厚或灌注缺損跡象。胃壁無顯著增厚。
-
Balthazar 分級(CT Severity Index, CTSI):依據本影像所見,至少符合 Grade C(胰臟腫大 + 胰周脂肪炎症)以上,顯示中等至中重度急性胰臟炎。
**影
...(解析預覽)...
![醫師[2] - 膽道、胰臟及消化道其他 - AI 圖文解析預覽](/_next/image?url=https%3A%2F%2Fbgvxfcrmbdvefjhuvrmt.supabase.co%2Fstorage%2Fv1%2Fobject%2Fpublic%2Fvisual-explanations%2F917%2F60806_t0y4f464x.webp&w=3840&q=75)
升級 VIP 解鎖圖文解析