106年:醫學五(2)
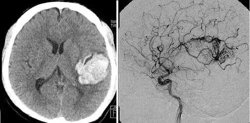
20 歲林同學,上課中突然意識昏迷被送急診,經一系列檢查如下圖。請依此回答下列 3題:林同學可能診斷為何? 
A高血壓腦出血( hypertensive intracranial hemorrhage )
B蜘蛛膜下腔出血( subarachnoid hemorrhage )
C動靜脈畸形破裂出血( arteriovenous malformation rupture )
D類澱粉血管病變( amyloid angiopathy)
詳細解析
本題觀念:
本題考查顱內出血(intracranial hemorrhage)的鑑別診斷,特別是在年輕成人發生自發性腦出血時,如何根據臨床背景(年齡、無高血壓病史)與影像學特徵(CT + 腦血管攝影)來區分動靜脈畸形破裂出血(arteriovenous malformation rupture, AVM)、高血壓腦出血(hypertensive intracerebral hemorrhage)、蜘蛛膜下腔出血(subarachnoid hemorrhage, SAH)及類澱粉血管病變(cerebral amyloid angiopathy, CAA)。
影像分析:
題目提供兩張圖像:
左圖(非對比頭部電腦斷層, non-contrast CT head): 可見右側顳頂葉(right temporal-parietal lobe)大面積高密度(白色)出血灶,出血呈葉狀分佈(lobar hemorrhage),位於大腦皮質下/淺表區域,周圍可見低密度水腫帶。出血部位不在基底核(basal ganglia)或丘腦(thalamus)等高血壓腦出血的典型好發位置,而是位於較淺表的葉狀位置,這提示血管結構異常(如 AVM)的可能性。
右圖(腦血管攝影, cerebral angiography): 可見腦實質內一糾結紊亂的異常血管團,呈現典型的「蚯蚓
...(解析預覽)...
![醫師[2] - 腦部疾病外科 - AI 圖文解析預覽](/_next/image?url=https%3A%2F%2Fbgvxfcrmbdvefjhuvrmt.supabase.co%2Fstorage%2Fv1%2Fobject%2Fpublic%2Fvisual-explanations%2F919%2F60938_t432c6r14.webp&w=3840&q=75)
升級 VIP 解鎖圖文解析