106年:醫學五(2)
一位 22 歲女性抱怨左膝疼痛 3個月,問診時發現夜間疼痛加劇。身體檢查發現明顯局部壓痛,觸診時發現有組織腫塊。膝部 X光片如下,此病患最有可能的診斷為:

A單純性骨囊腫( simple bone cyst )
B骨肉瘤(osteosarcoma )
C纖維性發育不全( fibrous dysplasia )
D骨軟骨瘤( osteochondroma )
詳細解析
本題觀念:
骨肉瘤(osteosarcoma)是最常見的原發性骨惡性腫瘤,好發於 10–25 歲青少年,最常見部位為股骨遠端(distal femur)、脛骨近端(proximal tibia)及肱骨近端(proximal humerus)。其 X 光特徵極具特色,結合臨床表現可高度懷疑此診斷。
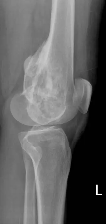
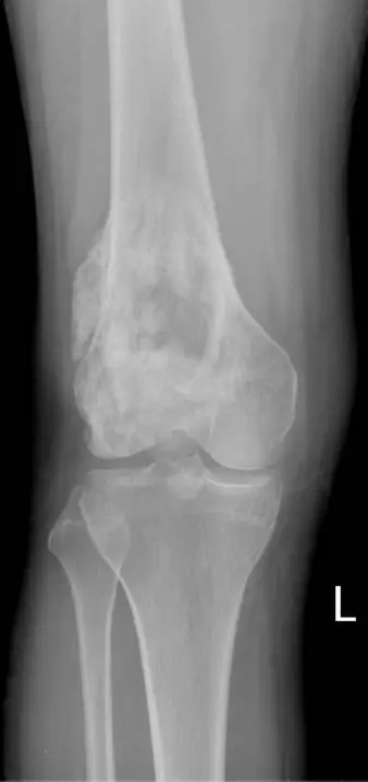
影像分析:
本題提供左膝關節正位(AP)及側位(lateral)X 光片兩張(標記「L」):
正位片(AP view):
- 股骨遠端可見大範圍破壞性骨病灶,累及幹骺端(metaphysis),向骨幹方向延伸
- 病灶呈**混合性溶骨-硬化(mixed lytic-sclerotic)**型態,骨小梁結構破壞
- 可見侵略性骨膜反應(aggressive periosteal reaction),包含典型的放射狀骨刺(sunburst pattern)——新生骨以輻射狀從皮質向外延伸
- 皮質(cortex)明顯被破壞,腫瘤突破皮質形成大型軟組織腫塊(soft tissue mass)
- 骨膜被抬起處可見 **Codman 三角(Codman triangle)**徵象
側位片(lateral view):
- 確認股骨遠端後方的大範圍皮質破壞與軟組織延伸
- 腫瘤侵犯範圍橫跨股骨遠端大部分骨幹
- 硬化性骨基質形成與
...(解析預覽)...
![醫師[2] - 骨骼腫瘤學 - AI 圖文解析預覽](/_next/image?url=https%3A%2F%2Fbgvxfcrmbdvefjhuvrmt.supabase.co%2Fstorage%2Fv1%2Fobject%2Fpublic%2Fvisual-explanations%2F919%2F60948_t711o0m5c.webp&w=3840&q=75)
升級 VIP 解鎖圖文解析