106年:醫學六(2)
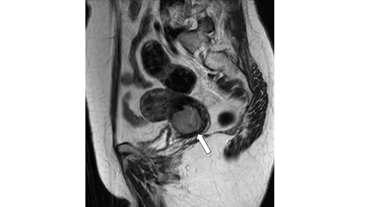
59 歲女性,下腹部磁振造影檢查( T2WI )如圖,有關箭號所指之處,何者敘述最正確? 
A子宮肌瘤
B子宮腺肌病
C子宮內膜息肉
D子宮頸瘤
詳細解析
本題觀念:
子宮頸癌(cervical carcinoma)在磁振造影(magnetic resonance imaging, MRI) T2 加權影像(T2-weighted imaging, T2WI)上的特徵性表現,以及與其他子宮病灶的鑑別診斷。MRI 是評估子宮頸癌最重要的影像工具,T2WI 為核心序列。
影像分析:
本圖為骨盆腔矢狀切面 T2WI 影像,呈現以下所見:
子宮體:子宮體內可見多個圓形、界限清楚的低訊號(hypointense)腫塊,分布於子宮前後壁及體部,呈典型子宮肌瘤(uterine leiomyoma)的 T2WI 低訊號特徵。
白色箭號指示處(子宮頸部位):箭號指向子宮頸(cervix)區域,可見一個中等至較高訊號強度(intermediate-to-high signal intensity)的腫塊,破壞了原本正常子宮頸基質(cervical stroma)的低訊號環(hypointense stromal ring)。此腫塊位置明確位於子宮體下方的子宮頸,與體部的多個低訊號肌瘤截然不同,其訊號特徵和位置均符合子宮頸癌的典型 MRI 表現。
正常子宮頸 T2WI 解剖:中央子宮頸內腺體/黏膜呈高訊號,外圍纖維基質呈低訊號環;當子宮頸癌存在時,此低訊號環被中等訊號的腫瘤組織所破壞取代。
...(解析預覽)...
![醫師[2] - 子宮良性疾病 - AI 圖文解析預覽](/_next/image?url=https%3A%2F%2Fbgvxfcrmbdvefjhuvrmt.supabase.co%2Fstorage%2Fv1%2Fobject%2Fpublic%2Fvisual-explanations%2F920%2F61045_t035r6732.webp&w=3840&q=75)
升級 VIP 解鎖圖文解析