106年:醫學六(2)
不孕症女性,子宮輸卵管攝影檢查呈現如圖,下列敘述何者最正確? 
A子宮頸狹窄
B兩側輸卵管暢通
C先天性雙子宮
D子宮內粘連
詳細解析
本題觀念:
子宮輸卵管攝影(hysterosalpingography, HSG)的正常影像判讀,包括兩側輸卵管暢通(bilateral tubal patency)的診斷標準,以及各種常見異常所見的鑑別,用於不孕症(infertility)評估。
影像分析:
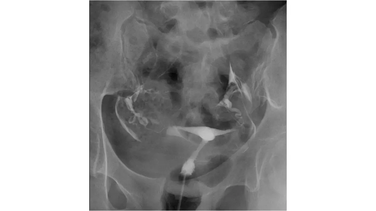
本圖為子宮輸卵管攝影(HSG)骨盆腔前後位 X 光片,顯示以下所見:
子宮腔:子宮腔(正中央白色不透明顯影劑充填區)輪廓可辨,呈近似倒三角形的充填型態,腔壁尚稱平整,未見明顯局限性充填缺損(filling defect),不支持子宮內粘連或內膜息肉的存在。子宮頸管可見造影劑充填,子宮頸部分無明顯狹窄表現。
輸卵管:雙側均可見顯影劑自子宮角(cornual region)流入輸卵管,沿兩側延伸至骨盆腔。輸卵管走行可見,最重要的是:兩側輸卵管末端可見顯影劑溢入腹腔(peritoneal spillage),表現為造影劑在兩側卵巢/輸卵管傘端周圍散布於腹腔,形成「雲霧狀」彌散影。這是確認輸卵管暢通最關鍵的 HSG 所見。
結論:影像符合兩側輸卵管暢通(bilateral tubal patency)的典型 HSG 表現——雙側均有腹腔內顯影劑溢出,且子宮腔形態正常,無明顯解剖異常。
選項分析
(A) 子宮頸狹窄(cervical stenosis):子宮頸狹
...(解析預覽)...
![醫師[2] - 不孕症與輔助生殖技術 - AI 圖文解析預覽](/_next/image?url=https%3A%2F%2Fbgvxfcrmbdvefjhuvrmt.supabase.co%2Fstorage%2Fv1%2Fobject%2Fpublic%2Fvisual-explanations%2F920%2F61046_t3l0w3v4z.webp&w=3840&q=75)
升級 VIP 解鎖圖文解析