106年:醫學五(1)
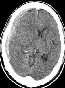
一位 68 歲男性因跌倒送來急診,意識狀態模糊,對痛刺激眼睛會張開,且左手會撥開痛刺激,但不會出聲,頭部電腦斷層如 下圖所示,下列何者正確? 
A出血位置位於硬腦膜下
B出血的來源多半為顱骨骨折造成腦膜動脈破裂而成
C最佳的治療方法為大量的使用降腦壓藥物,避免血塊對腦幹的壓迫
D此病人目前 GCS 為10 分
詳細解析
本題觀念:
本題考查頭部外傷後顱內出血的分類、CT 影像特徵、GCS 評分計算,以及硬腦膜下血腫(subdural hematoma, SDH)的治療原則。
影像分析:
頭部非增強電腦斷層(noncontrast CT)呈現右側大腦半球表面一新月形(crescent-shaped)高密度(hyperdense)血液積聚,沿著顱骨內板呈凹面朝向腦實質的形態,可跨越顱骨縫合線延伸。此影像特徵符合**急性硬腦膜下血腫(acute subdural hematoma)**的典型表現。與硬腦膜外血腫(epidural hematoma, EDH)不同,SDH 呈新月形而非雙凸透鏡形(biconvex/lenticular shape),且不受顱縫限制。右側大腦半球有輕度受壓,但中線偏移不十分顯著。
選項分析
(A) 出血位置位於硬腦膜下 ✅ 正確
CT 影像顯示右側大腦表面新月形高密度影,位於硬腦膜(dura mater)與蛛網膜(arachnoid)之間,即硬腦膜下腔(subdural space)。此為本題正確答案。急性 SDH 在 CT 上呈現高密度(hyperdense)新月形病灶,可跨越顱縫延伸,為 SDH 與 EDH 的重要鑑別點。
(B) 出血的來源多半為顱骨骨折造成腦膜動脈破裂而成 ❌ 錯誤
此描述符合的是**硬腦膜外血腫(
...(解析預覽)...
![醫師[2] - 腦部疾病外科 - AI 圖文解析預覽](/_next/image?url=https%3A%2F%2Fbgvxfcrmbdvefjhuvrmt.supabase.co%2Fstorage%2Fv1%2Fobject%2Fpublic%2Fvisual-explanations%2F923%2F61222_t6g38231g.webp&w=3840&q=75)
升級 VIP 解鎖圖文解析