106年:醫學五(1)
27 歲男性病人發生車禍造成右手疼痛,手部 X光片如附圖,最正確的診斷為? 
Amallet fracture
Bboxer's fracture
CBennett fracture
DColles fracture
詳細解析
本題觀念:
本題考查手部骨折的 X 光影像判讀與命名骨折(named fractures)的鑑別,核心在於辨識第五掌骨頸骨折(fifth metacarpal neck fracture)的典型影像特徵,即俗稱的 boxer's fracture(拳擊手骨折)。
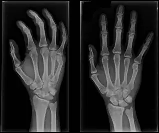
影像分析:
本題附圖為右手的 X 光影像,包含**正位(PA view)及斜位(oblique view)**兩張。
影像判讀重點:
- 骨折位置:在**第五掌骨頸部(neck of the 5th metacarpal)**可見明顯骨折線,骨折線呈橫向,位於第五掌骨頭(metacarpal head)近端
- 骨折型態:遠端骨折片(distal fragment,即掌骨頭)呈現掌側(volar)移位/彎曲(volar angulation),這是 boxer's fracture 的典型特徵
- 第五指掌指關節(MCP joint):因骨折片向掌側彎曲,正位片可見第五指「握拳時指節消失」(loss of knuckle)的影像
- 其他掌骨:第一至第四掌骨結構完整,無明顯骨折線
- 腕關節:橈骨、尺骨遠端及腕骨無異常,可排除 Colles 骨折相關的橈骨遠端骨折
此影像典型呈現第五掌骨頸骨折伴掌側彎曲,為 boxer's fracture 的
...(解析預覽)...
![醫師[2] - 手外科學 - AI 圖文解析預覽](/_next/image?url=https%3A%2F%2Fbgvxfcrmbdvefjhuvrmt.supabase.co%2Fstorage%2Fv1%2Fobject%2Fpublic%2Fvisual-explanations%2F923%2F61285_t3g4e0n1z.webp&w=3840&q=75)
升級 VIP 解鎖圖文解析