106年:醫學六(1)
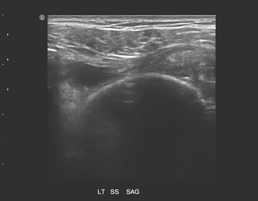
85 歲女性患者,主訴左肩疼痛超過 6個月,有局部壓痛,無肌肉萎縮現象,圖為左肩部超音波檢查,上圖為旋轉環帶長軸切面,下圖為短軸切面,最可能之診斷為何?

A風濕性關節炎( rheumatoid arthritis )
B棘上肌腱斷裂( supraspinatus tendon tear )
C化膿性關節炎( pyogenic arthritis )
D肩三角肌撕裂( deltoid muscle tear )
詳細解析
本題觀念:
本題考察肩部超音波影像判讀,重點為旋轉環帶(rotator cuff)損傷的超音波特徵。對 85 歲女性出現慢性肩痛合併局部壓痛的案例,需能從長軸(sagittal/longitudinal)及短軸(transverse)超音波切面判讀棘上肌腱斷裂(supraspinatus tendon tear)的典型影像表現。
影像分析:
上圖(長軸切面,LT SS SAG): 左肩棘上肌腱矢狀面(長軸)超音波影像。正常棘上肌腱在長軸切面應呈現纖維狀(fibrillar)排列的高回音帶狀結構,覆蓋於肱骨頭(humeral head)弧形高回音骨皮質上方。本圖可見:
- 棘上肌腱區域出現明顯低回音/無回音缺損(hypoechoic/anechoic defect),正常纖維狀肌腱回音結構消失
- 三角肌(deltoid muscle)向下陷入缺損處(deltoid dipping sign),為全層斷裂的特徵性表現
- 肱骨頭骨皮質直接暴露於缺損下方,無正常肌腱覆蓋
- 整體表現符合棘上肌腱全層斷裂(full-thickness tear)
下圖(短軸切面,LT SS TR): 左肩棘上肌腱橫斷面(短軸)超音波影像。正常短軸切面下棘上肌腱應呈現橢圓形高回音結構,包含多點狀高回音纖維。本圖可見:
- 棘上肌腱正常橢圓形高回音結構消失
...(解析預覽)...
![醫師[2] - 軟組織損傷與神經壓迫復健 - AI 圖文解析預覽](/_next/image?url=https%3A%2F%2Fbgvxfcrmbdvefjhuvrmt.supabase.co%2Fstorage%2Fv1%2Fobject%2Fpublic%2Fvisual-explanations%2F924%2F61363_t44244s1j.webp&w=3840&q=75)
升級 VIP 解鎖圖文解析